missing translation for 'onlineSavingsMsg'
Learn More

CHGA Mouse anti-Human, Mouse, Clone: OTI2E12, TrueMAB™, Origene

Mouse Monoclonal Antibody

Brand:  Origene Technologies TA506098S

Encompass_Preferred

Product Code. 17505432

  • € 242.00 / 30µL

Please to purchase this item. Need a web account? Register with us today!

This item is not returnable. View return policy

Description

Description

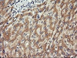
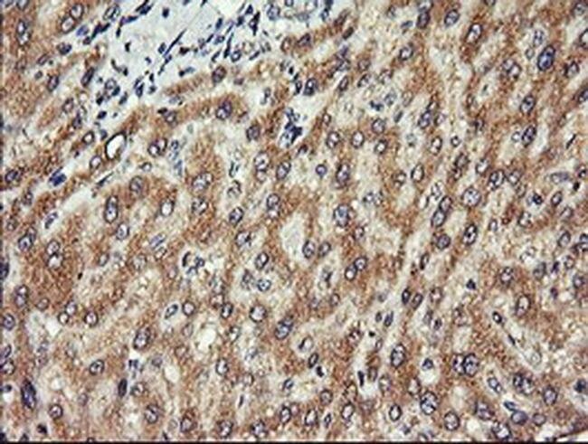
CHGA Monoclonal antibody specifically detects CHGA in Human, Mouse samples. It is validated for Immunocytochemistry, Immunohistochemistry (Paraffin), Western Blot
Specifications

Specifications

CHGA
Monoclonal
1 mg/mL
PBS with 1% BSA, 50% glycerol and 0.02% sodium azide
P10645, P26339
Mouse
Affinity chromatography
RUO
1113, 12652
-20° C, Avoid Freeze/Thaw Cycles
Liquid
Immunocytochemistry, Immunohistochemistry (Paraffin), Western Blot
OTI2E12
Unconjugated
Chga
AL-11; AL26; Beta-granin; betagranin (N-terminal fragment of chromogranin A); catestatin; CgA; CHGA; ChrA; chromofungin; chromogranin A; chromogranin A (parathyroid secretory protein 1); chromogranin A precursor; chromogranin-A; CTNNB; DKFZp686D02253; EA-92; ER-37; ES-43; FLJ25606; FLJ37923; GE-25; GR-44; GV-19; LF-19; LOW QUALITY PROTEIN: chromogranin-A; MGC105435; Pancreastatin; Parastatin; parathyroid secretory protein 1; p-Glu serpinin precursor; pituitary secretory protein I; Serpinin; Serpinin-RRG; SL21; SP-I; SS-18; Vasostatin I; Vasostatin II; Vasostatin-1; Vasostatin-2; WA-8; WE-14
Full length human recombinant protein of human CHGA produced in HEK293T cell.
30 μL
Primary
Human, Mouse
Antibody
IgG1
Product Suggestions

Product Suggestions

Videos
SDS
Documents

Documents

Certificates
Promotions

Promotions

Product Content Correction

The Fisher Scientific Encompass Program offers items which are not part of our distribution portfolio. These products typically do not have pictures or detailed descriptions. However, we are committed to improving your shopping experience. Please use the form below to provide feedback related to the content on this product.

Product Title

By clicking Submit, you acknowledge that you may be contacted by Fisher Scientific in regards to the feedback you have provided in this form. We will not share your information for any other purposes. All contact information provided shall also be maintained in accordance with our Privacy Policy.

Thank You! Your feedback has been submitted. Fisher Scientific is always working to improve our content for you. We appreciate your feedback.