missing translation for 'onlineSavingsMsg'
Learn More
Learn More
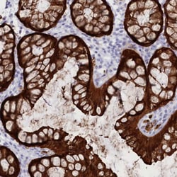
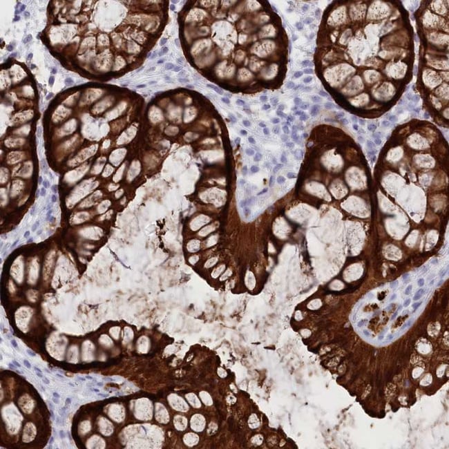
Invitrogen™ CK1 gamma-2 Polyclonal Antibody

Rabbit Polyclonal Antibody
Brand: Invitrogen™ PA583249
This item is not returnable.
View return policy
Description
Immunogen sequence: FDKKGGKGET EEGRRMSKAG GGRSSHGIRS S Highest antigen sequence indentity to the following orthologs: Rat - 77%, Mouse - 81%.
Casein kinases are operationally defined by their preferential utilization of acidic proteins such as caseins as substrates. It can phosphorylate a large number of proteins. Participates in Wnt signaling.
Specifications
| CK1 gamma-2 | |
| Polyclonal | |
| Unconjugated | |
| Csnk1g2 | |
| 2810429I12Rik; AI463719; casein kinase 1 gamma 2; casein kinase 1 gamma 2 isoform; casein kinase 1 isoform gamma-2; casein kinase 1, gamma 2; casein kinase I isoform gamma-2; CK Igamma2; CK1G2; CKI gamma 2; CKI gamma2; CKI-gamma 2; CKIgamma2; CK-Igamma2; CKI-gamma2; CKI-gamma-2; CKIgamma-2; Csnk1g2 | |
| Rabbit | |
| Antigen affinity chromatography | |
| RUO | |
| 1455 | |
| Store at 4°C short term. For long term storage, store at -20°C, avoiding freeze/thaw cycles. | |
| Liquid |
| Immunohistochemistry (Paraffin), Western Blot | |
| 0.05 mg/mL | |
| PBS with 40% glycerol and 0.02% sodium azide; pH 7.2 | |
| P78368 | |
| Csnk1g2 | |
| Recombinant protein corresponding to Human CSNK1G2. Recombinant protein control fragment (Product #RP-97246). | |
| 100 μL | |
| Primary | |
| Human | |
| Antibody | |
| IgG |
Product Content Correction
Your input is important to us. Please complete this form to provide feedback related to the content on this product.
Product Title
Spot an opportunity for improvement?Share a Content Correction