Learn More
Invitrogen™ CLN5 Polyclonal Antibody

Rabbit Polyclonal Antibody
Brand: Invitrogen™ PA588837
Description
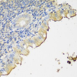
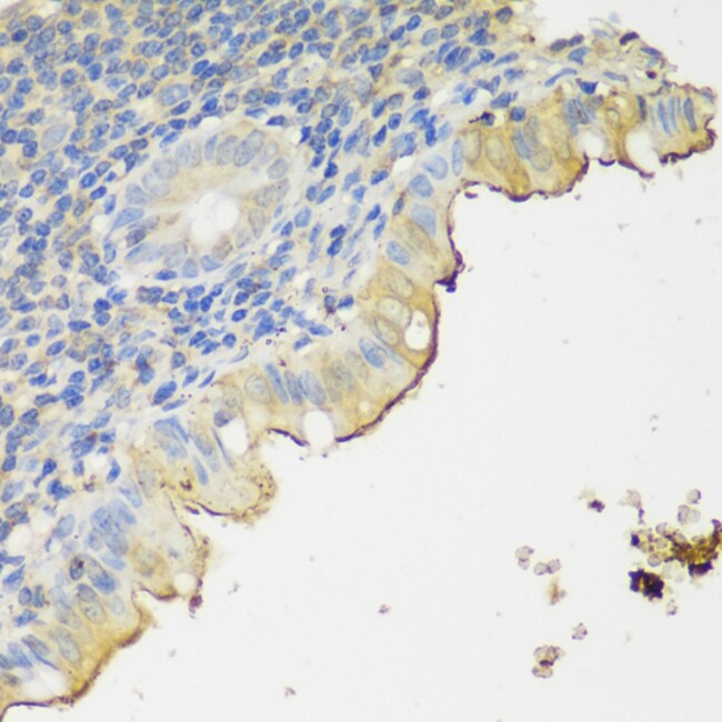
Immunogen sequence: IPSRRHWPVP YKRFDFRPKP DPYCQAKYTF CPTGSPIPVM EGDDDIEVFR LQAPVWEFKY GDLLGHLKIM HDAIGFRSTL TGKNYTMEWY ELFQLGNCTF PHLRPEMDAP FWCNQGAACF FEGIDDVHWK ENGTLVQVAT ISGNMFNQMA KWVKQDNETG IYYETWNVKA SPEKGAETWF DSYDCSKFVL RTFNKLAEFG AEFKNIETNY TRIFLYSGEP TYLGNETSVF GPTGNKTLGL AIKRFYYPFK PHLPTKEFLL SLLQIFDAVI VHKQFYLFYN FEYWFLPMKF PFIKITYEEI PLPIRNKTLS GL; Positive Samples: Mouse heart, Rat heart; Cellular Location: Lysosome.
This gene is one of eight which have been associated with neuronal ceroid lipofuscinoses (NCL). Also referred to as Batten disease, NCL comprises a class of autosomal recessive, neurodegenerative disorders affecting children. The genes responsible likely encode proteins involved in the degradation of post-translationally modified proteins in lysosomes. The primary defect in NCL disorders is thought to be associated with lysosomal storage function.[provided by RefSeq, Oct 2008].
Specifications
| CLN5 | |
| Polyclonal | |
| Unconjugated | |
| CLN5 | |
| A730075N08Rik; ceroid-lipofuscinosis; Ceroid-lipofuscinosis neuronal protein 5; ceroid-lipofuscinosis neuronal protein 5 homolog; Ceroid-lipofuscinosis neuronal protein 5 homolog, secreted form; Ceroid-lipofuscinosis neuronal protein 5, secreted form; ceroid-lipofuscinosis, neuronal 5; CLN5; NCL; Protein CLN5 | |
| Rabbit | |
| Affinity chromatography | |
| RUO | |
| 1203, 211286, 306128 | |
| -20°C, Avoid Freeze/Thaw Cycles | |
| Liquid |
| ELISA, Immunohistochemistry (Paraffin), Western Blot | |
| 2.8 mg/mL | |
| PBS with 50% glycerol and 0.01% thimerosal; pH 7.3 | |
| O75503, Q3UMW8 | |
| CLN5 | |
| Recombinant fusion protein containing a sequence corresponding to amino acids 47-358 of human CLN5 (NP_006484.2). | |
| 100 μL | |
| Primary | |
| Human, Mouse, Rat | |
| Antibody | |
| IgG |
Your input is important to us. Please complete this form to provide feedback related to the content on this product.