missing translation for 'onlineSavingsMsg'
Learn More
Learn More
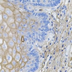
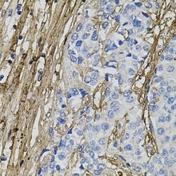
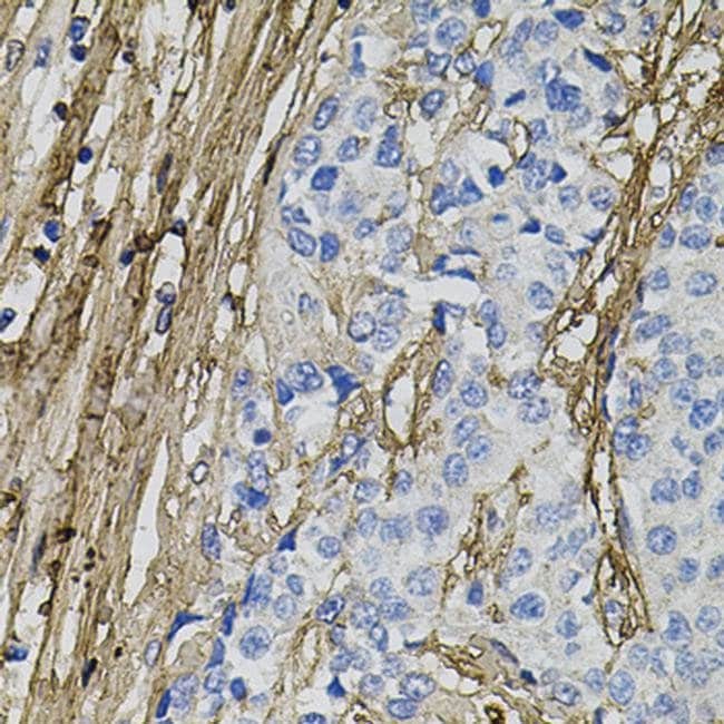
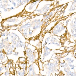
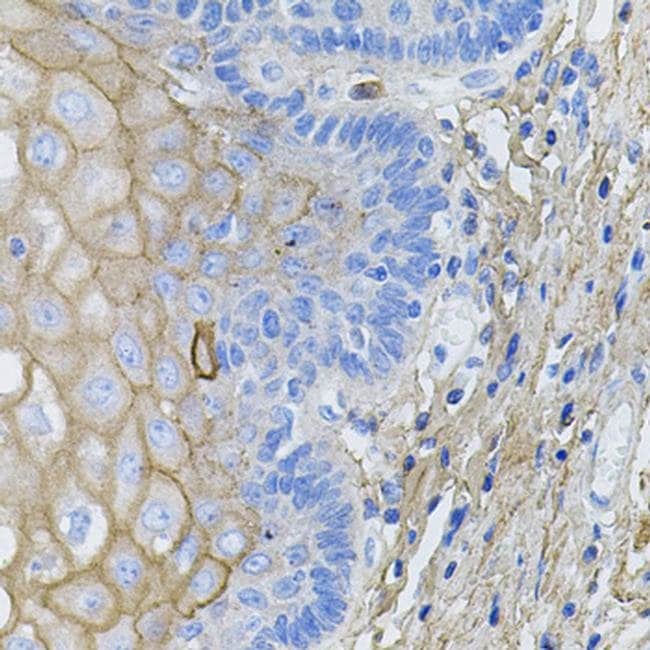
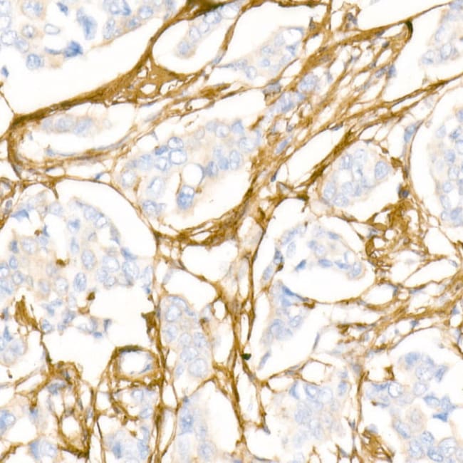
Invitrogen™ COL1A1 Polyclonal Antibody

Description
Purity is > 95% by SDS-PAGE.
The protein encoded by this gene is the pro-alpha1 chain of type I collagen whose triple helix comprises two alpha1 chains and one alpha2 chain. Type I is a fibril-forming collagen found in most connective tissues and is abundant in bone, cornea, dermis and tendon. Mutations in this gene are associated with osteogenesis imperfecta types I-IV, Ehlers-Danlos syndrome type VIIA, Ehlers-Danlos syndrome Classical type, Caffey Disease and idiopathic osteoporosis. Reciprocal translocations between chromosomes 17 and 22, where this gene and the gene for platelet-derived growth factor beta are located, are associated with a particular type of skin tumor called dermatofibrosarcoma protuberans, resulting from unregulated expression of the growth factor. Two transcripts, resulting from the use of alternate polyadenylation signals, have been identified for this gene.
Specifications
Specifications
| Antigen | COL1A1 |
| Applications | Immunohistochemistry (Paraffin), Western Blot, Immunocytochemistry |
| Classification | Polyclonal |
| Concentration | 1 mg/mL |
| Conjugate | Unconjugated |
| Formulation | PBS with 50% glycerol and 0.02% sodium azide; pH 7.2 |
| Gene | COL1A1 |
| Gene Accession No. | P02452, P02454, P11087 |
| Gene Alias | alpha-1 type 1 collagen; alpha-1 type I collagen; alpha1(I) procollagen; COL1A; Col1a1; Col1a-1; Cola1; Cola-1; COLIA1; Collagen 1; collagen alpha 1 chain type I; collagen alpha-1(I) chain; collagen alpha-1(I) chain preproprotein; Collagen I; collagen of skin, tendon and bone, alpha-1 chain; collagen type I alpha 1; collagen, type 1, alpha 1; collagen, type I, alpha 1; Collagen1A1; EDSC; Mov13; Mov-13; OI1; OI2; OI3; OI4; pro-alpha-1 collagen type 1; procollagen type I, alpha 1; procollagen, type 1, alpha 1; procollagen, type I, alpha 1; Type I Collagen; type I proalpha 1; type I procollagen alpha 1 chain; type I-alpha 1 collagen |
| Gene Symbols | COL1A1 |
| Show More |
Product Title
By clicking Submit, you acknowledge that you may be contacted by Fisher Scientific in regards to the feedback you have provided in this form. We will not share your information for any other purposes. All contact information provided shall also be maintained in accordance with our Privacy Policy.
Spot an opportunity for improvement?