missing translation for 'onlineSavingsMsg'
Learn More
Learn More
Invitrogen™ COX1 Polyclonal Antibody, Invitrogen™

Rabbit Polyclonal Antibody
Brand: Invitrogen™ PA5145391
This item is not returnable.
View return policy
Description
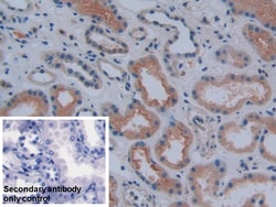
For immunocytochemistry the cells were formalin fixed.
PTGS1 (COX1, Cyclooxygenase 1) is the key enzyme in prostaglandin biosynthesis, and acts both as a dioxygenase and as a peroxidase. There are two isozymes of PTGS: a constitutive PTGS1 and an inducible PTGS2, which differ in their regulation of expression and tissue distribution. This gene encodes PTGS1, which regulates angiogenesis in endothelial cells, and is inhibited by nonsteroidal anti-inflammatory drugs such as aspirin. PTGS1 is thought to be involved in cell-cell signaling and maintaining tissue homeostasis. Alternative splicing of this gene generates two transcript variants. The expression of these two transcripts is differentially regulated by relevant cytokines and growth factors.
Specifications
| COX1 | |
| Polyclonal | |
| Unconjugated | |
| PTGS1 | |
| COI; COX1; Cox-1; COX3; Cox-3; COXI; cyclooxygenase 3; cyclooxygenase precursor (EC 1.14.99.1); cyclooxygenase-1; Cytochrome c oxidase polypeptide I; Cytochrome c oxidase subunit 1; cytochrome c oxidase subunit I; mitochondrially encoded cytochrome c oxidase I; Mtco1; mt-Co1; P PGG/HS; PCOX1; PES-1; PGG/HS; PGH synthase 1; PGHS1; Pghs-1; PHS 1; PHS1; prostaglandin endoperoxide synthase; prostaglandin G/H synthase 1; prostaglandin G/H synthase and cyclooxygenase; prostaglandin G/H synthase precursor (EC 1.14.99.1); prostaglandin H2 synthase 1; Prostaglandin-endoperoxide synthase 1; prostaglandin-endoperoxide synthase 1 (prostaglandin G/H synthase and cyclooxygenase); PTGHS; PTGS1; unnamed protein product | |
| Rabbit | |
| Antigen affinity chromatography, Protein A | |
| RUO | |
| 24693, 4512, 5742 | |
| Store at 4°C short term. For long term storage, store at -20°C, avoiding freeze/thaw cycles. | |
| Liquid |
| Immunohistochemistry (Paraffin), Western Blot | |
| 0.5 mg/mL | |
| PBS with 50% glycerol and 0.05% Proclin 300; pH 7.4 | |
| P23219, Q63921 | |
| COX1, PTGS1 | |
| Recombinant Human COX-1 protein, Gly367-Leu599 (Accession #P23219). | |
| 200 μL | |
| Primary | |
| Human, Rat | |
| Antibody | |
| IgG |
Product Content Correction
Your input is important to us. Please complete this form to provide feedback related to the content on this product.
Product Title
Spot an opportunity for improvement?Share a Content Correction