Learn More
Invitrogen™ COX5A Polyclonal Antibody

Rabbit Polyclonal Antibody
Brand: Invitrogen™ PA5121003
Description
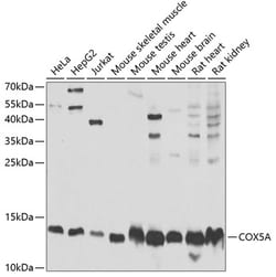
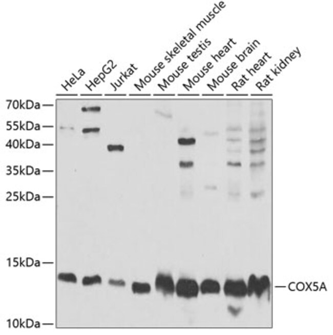
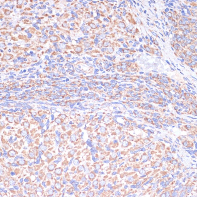
Positive test controls include: HeLa, HepG2, mouse skeletal muscle, mouse testis, mouse heart, mouse brain, rat heart, rat kidney, Jurkat. The target is usually found in the following locations: Mitochondrion inner membrane. Immunogen sequence: MLGAALRRCA VAATTRADPR GLLHSARTPG PAVAIQSVRC YSHGSQETDE EFDARWVTYF NKPDIDAWEL RKGINTLVTY DMVPEPKIID AALRACRRLN DFASTVRILE VVKDKAGPHK EIYPYVIQEL RPTLNELGIS TPEELGLDKV.
Cytochrome c oxidase (COX) is the terminal enzyme of the mitochondrial respiratory chain. It is a multi-subunit enzyme complex that couples the transfer of electrons from cytochrome c to molecular oxygen and contributes to a proton electrochemical gradient across the inner mitochondrial membrane. The complex consists of 13 mitochondrial- and nuclear-encoded subunits. The mitochondrially-encoded subunits perform the electron transfer of proton pumping activities. The functions of the nuclear-encoded subunits are unknown but they may play a role in the regulation and assembly of the complex. This gene encodes the nuclear-encoded subunit Va of the human mitochondrial respiratory chain enzyme. A pseudogene COX5AP1 has been found in chromosome 14q22.
Specifications
| COX5A | |
| Polyclonal | |
| Unconjugated | |
| COX5A | |
| AA959768; CcOX; COX; Cox5a; COX5A protein; COX-VA; cytochrome c oxidase polypeptide Va; cytochrome c oxidase polypeptide, mitochondrial; cytochrome c oxidase subunit 5A; cytochrome c oxidase subunit 5A, mitochondrial; cytochrome c oxidase subunit Va; cytochrome c oxidase, subunit Va; mitochondrial cytochrome c oxidase subunit 5a; mitochondrial cytochrome c oxidase subunit Va; VA | |
| Rabbit | |
| Affinity Chromatography | |
| RUO | |
| 12858, 252934, 9377 | |
| -20°C, Avoid Freeze/Thaw Cycles | |
| Liquid |
| ELISA, Immunohistochemistry (Paraffin), Western Blot, Immunocytochemistry | |
| 4.35 mg/mL | |
| PBS with 50% glycerol and 0.02% sodium azide; pH 7.3 | |
| P11240, P12787, P20674 | |
| COX5A | |
| Recombinant fusion protein containing a sequence corresponding to amino acids 1-150 of human COX5A (NP_004246.2). | |
| 100 μL | |
| Primary | |
| Human, Mouse, Rat | |
| Antibody | |
| IgG |
Your input is important to us. Please complete this form to provide feedback related to the content on this product.