missing translation for 'onlineSavingsMsg'
Learn More
Learn More
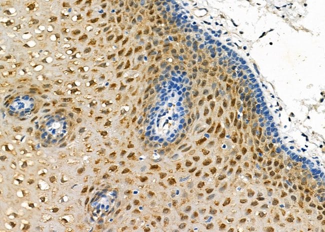
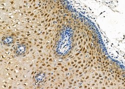
Invitrogen™ CRABP2 Polyclonal Antibody

Rabbit Polyclonal Antibody
Brand: Invitrogen™ PA5115048
This item is not returnable.
View return policy
Description
Antibody detects endogenous levels of total CRABP2.
Cellular retinoic acid binding protein (CRABP) is a low molecular weight protein with unknown function and existing in two isoforms, CRABP1 and CRABP2. The predicted amino acid sequences of human CRABP1 and CRABP2 exhibits 99.3 and 93.5% identity to mouse CRABP1 and CRABP2, respectively. The CRABP2 isoform is important in retinoic acid-mediated regulation of human skin growth and differentiation. The CRABP2 gene localized on human chromosome 1q21.3 is transcriptionally regulated by a newly synthesized regulatory protein. The protein is expressed in human adult liver.
Specifications
| CRABP2 | |
| Polyclonal | |
| Unconjugated | |
| CRABP2 | |
| AI893628; cellular lipid-binding protein; cellular retinoic acid binding protein 2; cellular retinoic acid binding protein II; cellular retinoic acid-binding protein 2; Cellular retinoic acid-binding protein II; Crabp2; Crabp-2; CrabpII; CRABP-II; RBP6; RP11-66D17.4 | |
| Rabbit | |
| Affinity chromatography | |
| RUO | |
| 12904, 1382, 29563 | |
| -20°C | |
| Liquid |
| Immunohistochemistry (Paraffin), Western Blot, Immunocytochemistry | |
| 1 mg/mL | |
| PBS with 50% glycerol and 0.02% sodium azide | |
| P22935, P29373, P51673 | |
| CRABP2 | |
| A synthesized peptide derived from human CRABP2(Accession P29373), corresponding to amino acid residues G48-Q98. | |
| 100 μL | |
| Primary | |
| Human, Mouse, Rat | |
| Antibody | |
| IgG |
Product Content Correction
Your input is important to us. Please complete this form to provide feedback related to the content on this product.
Product Title
Spot an opportunity for improvement?Share a Content Correction