missing translation for 'onlineSavingsMsg'
Learn More
Learn More
Invitrogen™ CrkRS Polyclonal Antibody

Rabbit Polyclonal Antibody
Brand: Invitrogen™ PA5117328
This item is not returnable.
View return policy
Description
Centrifuge briefly prior to opening.
Plays important functions in early cell signaling. Binds the cAMP response element (CRE) (consensus: 5'-GTGACGT[AG][AG]-3'), a sequence present in many viral and cellular promoters. Activator of the NF-ELAM1/delta-A site of the E-selectin promoter. Has no intrinsic transcriptional activity, but activates transcription on formation of JUN or FOS heterodimers. Also can bind TRE promoter sequences when heterodimerized with members of the JUN family. Isoform 4/ATF-A0acts as a dominant repressor of the E-selectin/NF-ELAM1/delta-A promoter. Isoform 5/ATF-4acts as a negative regulator, inhibiting both ATF2 and ATF7 transcriptional activities. It may exert these effects by sequestrating in the cytoplasm the Thr-53 phosphorylating kinase, preventing activation.
Specifications
| CrkRS | |
| Polyclonal | |
| Unconjugated | |
| CDK12 | |
| 1810022J16Rik; AI646528; CDC2-related kinase 7; CDC2-related kinase, arginine/serine-rich; CDC2-related protein kinase 7; Cdk12; Cell division cycle 2-related protein kinase 7; cell division protein kinase 12; CRK7; CRKR; Crkrs; cyclin dependent kinase 12; cyclin-dependent kinase 12; cyclin-dependent kinase 12 isoform; D11Ertd752e; H KIAA0904; hCDK12; Kiaa0904; Pksc; Protein kinase for splicing component | |
| Rabbit | |
| Antigen affinity chromatography | |
| RUO | |
| 51755, 69131 | |
| Store at 4°C short term. For long term storage, store at -20°C, avoiding freeze/thaw cycles. | |
| Liquid |
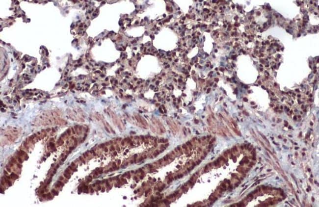
| Immunohistochemistry (Paraffin), Western Blot | |
| 0.83 mg/mL | |
| PBS with 20% glycerol and 0.025% ProClin 300; pH 7 | |
| Q14AX6, Q9NYV4 | |
| CDK12 | |
| Recombinant protein encompassing a sequence within the C-terminus region of human CrkRS. The exact sequence is proprietary. | |
| 100 μL | |
| Primary | |
| Human, Mouse | |
| Antibody | |
| IgG |
Product Content Correction
Your input is important to us. Please complete this form to provide feedback related to the content on this product.
Product Title
Spot an opportunity for improvement?Share a Content Correction