missing translation for 'onlineSavingsMsg'
Learn More
Learn More
Description
Immunogen sequence: KAYERKLGKV APTKEVSAAI WPFRFGYDNE GWSSLERSAH LLNETGADFI TILESDASKP YMGNNDLTMW LGEKLGFYTD FGPSTRYHT Highest antigen sequence identity to the following orthologs: Mouse - 84%, Rat - 87%.
CWH43 is a protein coding gene.
Specifications
Specifications
| Antigen | CWH43 |
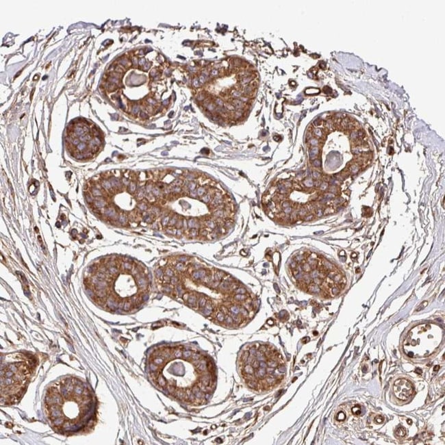
| Applications | Immunohistochemistry (Paraffin) |
| Classification | Polyclonal |
| Concentration | 0.2 mg/mL |
| Conjugate | Unconjugated |
| Formulation | PBS with 40% glycerol and 0.02% sodium azide; pH 7.2 |
| Gene | CWH43 |
| Gene Accession No. | Q9H720 |
| Gene Alias | C130090K23Rik; cell wall biogenesis 43 C-terminal homolog; cell wall biogenesis 43 C-terminal homolog (S. cerevisiae); cell wall biogenesis protein 43 C-terminal homolog; CWH43; CWH43-C; imds-60; PGAP2-interacting protein; PGAP2IP; RGD1310958 |
| Gene Symbols | CWH43 |
| Show More |
Product Title
By clicking Submit, you acknowledge that you may be contacted by Fisher Scientific in regards to the feedback you have provided in this form. We will not share your information for any other purposes. All contact information provided shall also be maintained in accordance with our Privacy Policy.
Spot an opportunity for improvement?
