missing translation for 'onlineSavingsMsg'
Learn More
Learn More
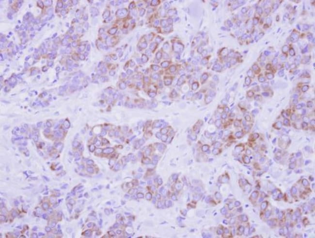
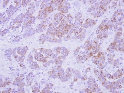
Invitrogen™ Cytokeratin 2e Polyclonal Antibody

Description
Recommended positive controls: A549, HeLa, HepG2, HCT116. Store product as a concentrated solution. Centrifuge briefly prior to opening the vial.
Cytokeratins are a subfamily of intermediate filament proteins and are characterized by a remarkable biochemical diversity, represented in human epithelial tissues by at least 20 different polypeptides. They range in molecular weight between 40 kDa and 68 kDa and isoelectric pH between 4.9 - 7.8. The individual human cytokeratins are numbered 1 to 20. The various epithelia in the human body usually express cytokeratins which are not only characteristic of the type of epithelium, but also related to the degree of maturation or differentiation within an epithelium.
Specifications
Specifications
| Antigen | Cytokeratin 2e |
| Applications | Immunohistochemistry (Paraffin), Western Blot |
| Classification | Polyclonal |
| Concentration | 0.95 mg/mL |
| Conjugate | Unconjugated |
| Formulation | PBS with 1% BSA, 20% glycerol and 0.01% thimerosal; pH 7 |
| Gene | KRT2 |
| Gene Accession No. | P35908 |
| Gene Alias | BB005427; CK 2e; CK-2e; Cytokeratin-2e; epithelial keratin-2e; K2e; Kb2; keratin 2; keratin 2 epidermis; keratin 2, type II; keratin 2e; keratin complex 2, basic, gene 17; keratin complex 2, gene 17; keratin, type II cytoskeletal 2 epidermal; Keratin-2 epidermis; keratin-2e; KRT2; krt2 {ECO:0000250; Krt2-17; Krt2-2; KRT2A; Krt2e; KRTE; MGC116967; MGC116968; type II keratin Kb2; type-II keratin Kb2; UniProtKB:P35908} |
| Gene Symbols | KRT2 |
| Show More |
Product Title
By clicking Submit, you acknowledge that you may be contacted by Fisher Scientific in regards to the feedback you have provided in this form. We will not share your information for any other purposes. All contact information provided shall also be maintained in accordance with our Privacy Policy.
Spot an opportunity for improvement?