missing translation for 'onlineSavingsMsg'
Learn More
Learn More
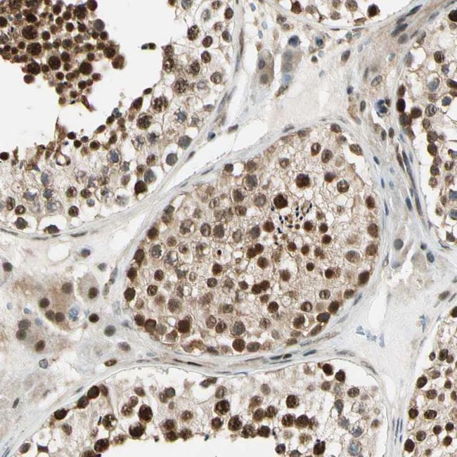
Invitrogen™ DAXX Polyclonal Antibody

Rabbit Polyclonal Antibody
Brand: Invitrogen™ PA582362
This item is not returnable.
View return policy
Description
Immunogen sequence: DEEEEAAAGK DGDKSPMSSL QISNEKNLEP GKQISRSSGE QQNKGRIVSP SLLSEEPLAP SSIDAESNGE QPEELTLEEE SPVSQLFELE IEALPLDTPS SVETDISSSR KQSEEPFTTV LENGAGMVSS TSFNGGVSPH NWGDSG Highest antigen sequence indentity to the following orthologs: Mouse - 47%, Rat - 50%.
This gene encodes a multifunctional protein that resides in multiple locations in the nucleus and in the cytoplasm. It interacts with a wide variety of proteins, such as apoptosis antigen Fas, centromere protein C, and transcription factor erythroblastosis virus E26 oncogene homolog 1. In the nucleus, the encoded protein functions as a potent transcription repressor that binds to sumoylated transcription factors. Its repression can be relieved by the sequestration of this protein into promyelocytic leukemia nuclear bodies or nucleoli. This protein also associates with centromeres in G2 phase. In the cytoplasm, the encoded protein may function to regulate apoptosis. The subcellular localization and function of this protein are modulated by post-translational modifications, including sumoylation, phosphorylation and polyubiquitination. Alternative splicing results in multiple transcript variants.
Specifications
| DAXX | |
| Polyclonal | |
| Unconjugated | |
| DAXX | |
| BING2; CENP-C binding protein; DADB-159G18.9; DAP6; Daxx; death domain associated protein; Death domain-associated protein 6; death-associated protein 6; death-domain associated protein; EAP1; ETS1-associated protein 1; Fas death domain-associated protein; Fas-binding protein; hDaxx; MGC126245; MGC126246; SMIM40; Unknown (protein for MGC:138055) | |
| Rabbit | |
| Antigen affinity chromatography | |
| RUO | |
| 1616 | |
| Store at 4°C short term. For long term storage, store at -20°C, avoiding freeze/thaw cycles. | |
| Liquid |
| Immunohistochemistry (Paraffin), Western Blot | |
| 0.1 mg/mL | |
| PBS with 40% glycerol and 0.02% sodium azide; pH 7.2 | |
| Q9UER7 | |
| DAXX | |
| Recombinant protein corresponding to Human DAXX. Recombinant protein control fragment (Product #RP-102461). | |
| 100 μL | |
| Primary | |
| Human | |
| Antibody | |
| IgG |
Product Content Correction
Your input is important to us. Please complete this form to provide feedback related to the content on this product.
Product Title
Spot an opportunity for improvement?Share a Content Correction