missing translation for 'onlineSavingsMsg'
Learn More
Learn More
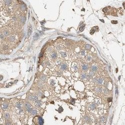
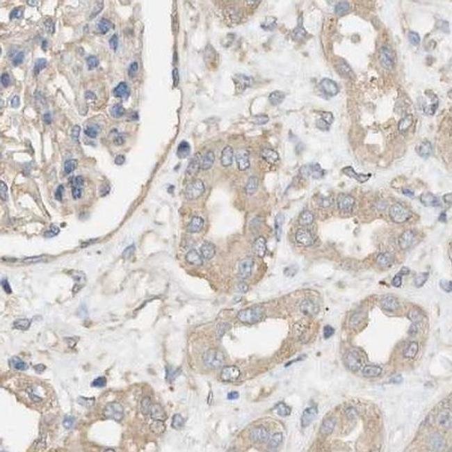
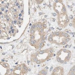
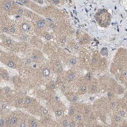
Invitrogen™ DCAF7 Polyclonal Antibody

Rabbit Polyclonal Antibody
Brand: Invitrogen™ PA554642
This item is not returnable.
View return policy
Description
Immunogen sequence: PCTPVARLNN HRACVNGIAW APHSSCHICT AADDHQALIW DIQQMPRAIE DPILAYTAEG EINNVQWAST QPDWIAICYN NC Highest antigen sequence identity to the following orthologs: Mouse - 100%, Rat - 100%.
WD-repeats are motifs that are found in a variety of proteins and are characterized by a conserved core of 40-60 amino acids that commonly form a tertiary propeller structure. While proteins that contain WD-repeats participate in a wide range of cellular functions, they are generally involved in regulatory mechanisms concerning chromatin assembly, cell cycle control, signal transduction, RNA processing, apoptosis and vesicular trafficking. WDR68 (WD repeat-containing protein 68), also known as DCAF7 (DDB1- and CUL4- associated factor 7), HAN11 or WDR68, is a 342 amino acid protein that belongs to the WD repeat DCAF7 family and contains 4 WD repeats. Localizing to the cytoplasm and nucleus, WDR68 is involved in protein modification and ubiquitination pathways, and interacts directly with Dyrk1A, Dyrk1B and Dia 1. WDR68 is involved in craniofacial development, and may be involved in skin development.
Specifications
| DCAF7 | |
| Polyclonal | |
| Unconjugated | |
| DCAF7 | |
| 1700012F10Rik; 2610037L01Rik; AN11; AN11 homolog; C86529; DCAF7; DDB1 and CUL4 associated factor 7; DDB1- and CUL4-associated factor 7; dirty south; dys; fj83g06; HAN11; han11l; human anthocyanin; RGD1305140; seven-WD-repeat protein of the AN11 family-1; SWAN-1; Unknown (protein for MGC:134591); WD repeat domain 68; WD repeat-containing protein 68; WD repeat-containing protein An11 homolog; wdr68; WD-repeat protein; wu:fj83g06; zgc:63940 | |
| Rabbit | |
| Antigen Affinity Chromatography | |
| RUO | |
| 10238 | |
| Store at 4°C short term. For long term storage, store at -20°C, avoiding freeze/thaw cycles. | |
| Liquid |
| Immunohistochemistry (Paraffin), Western Blot, Immunocytochemistry | |
| 0.1 mg/mL | |
| PBS with 40% glycerol and 0.02% sodium azide; pH 7.2 | |
| P61962 | |
| DCAF7 | |
| Recombinant protein corresponding to Human DCAF7. Recombinant protein control fragment (Product #RP-93332). | |
| 100 μL | |
| Primary | |
| Human | |
| Antibody | |
| IgG |
Product Content Correction
Your input is important to us. Please complete this form to provide feedback related to the content on this product.
Product Title
Spot an opportunity for improvement?Share a Content Correction