missing translation for 'onlineSavingsMsg'
Learn More

Dickkopf Homolog 2 (Xenopus Laevis) Rabbit Anti-Human, Polyclonal, Abnova&Trade;

Rabbit Polyclonal Antibody

Brand:  Abnova PAB3570.400uL

Product Code. 16078717

  • € 388.00 / 400µL

Please to purchase this item. Need a web account? Register with us today!

This item is not returnable. View return policy

Description

Description

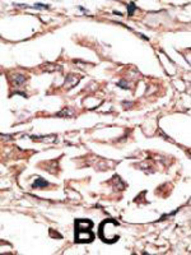
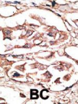
dickkopf homolog 2 (Xenopus laevis) Polyclonal antibody specifically detects dickkopf homolog 2 (Xenopus laevis) in Human samples. It is validated for Western Blot, Immunohistochemistry (Paraffin)
Specifications

Specifications

dickkopf homolog 2 (Xenopus laevis)
Polyclonal
Immunohistochemistry (Formalin/PFA-fixed paraffin-embedded sections) (1:50-100)
Western Blot (1:1000)
The optimal working dilution should be determined by the end user.
DKK-2
A synthetic peptide (conjugated with KLH) corresponding to C-terminus of human DKK2.
RUO
27123
Store at 4°C. For long term storage store at -20°C. Aliquot to avoid repeated freezing and thawing.
Liquid
Western Blot, Immunohistochemistry (Paraffin)
Unconjugated
In PBS (0.09% sodium azide)
Rabbit
400 μL
Primary
Human
Antibody
Product Suggestions

Product Suggestions

Videos
SDS
Documents

Documents

Certificates
Promotions

Promotions

Product Content Correction

Your input is important to us. Please complete this form to provide feedback related to the content on this product.

Product Title

By clicking Submit, you acknowledge that you may be contacted by Fisher Scientific in regards to the feedback you have provided in this form. We will not share your information for any other purposes. All contact information provided shall also be maintained in accordance with our Privacy Policy.

Thank You! Your feedback has been submitted. Fisher Scientific is always working to improve our content for you. We appreciate your feedback.