missing translation for 'onlineSavingsMsg'
Learn More
Learn More
Invitrogen™ DNMT1 Monoclonal Antibody (60B1220.1), APC

Mouse Monoclonal Antibody
Brand: Invitrogen™ MA545291
This item is not returnable.
View return policy
Description
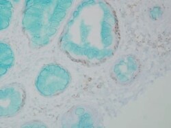
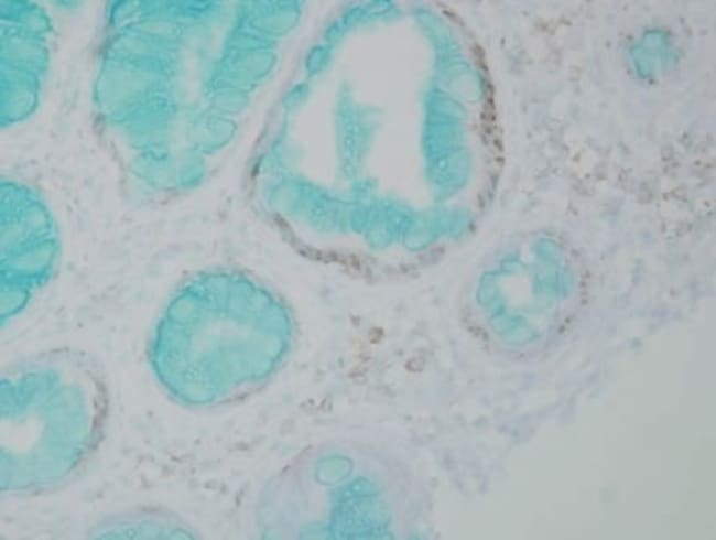
2 μg/mL of MA5-45291 was sufficient for detection of Dnmt1 in 10 μg of mouse ES cell lysate by colorimetric immunoblot analysis using Goat anti-mouse IgG:HRP as the secondary antibody. Detects approximately 180kDa. It will cross-react with mouse DNMT1.
This gene encodes a subunit of the augmin complex, which regulates centrosome and mitotic spindle integrity, and is necessary for the completion of cytokinesis. The encoded protein was identified by interaction with ubiquitin C-terminal hydrolase 37. Alternative splicing results in multiple transcript variants.
Specifications
| DNMT1 | |
| Monoclonal | |
| 1 mg/mL | |
| 2.48mM MES, 95.64mM phosphate with 0.5M EDTA and no preservative | |
| P13864, P26358 | |
| DNMT1 | |
| Raised against a synthetic peptide corresponding to amino acids 637-650 of human DNMT1. | |
| 100 μg | |
| Primary | |
| Human, Mouse, Fish, Zebrafish | |
| Antibody | |
| IgG1 κ |
| ChIP Assay, Immunohistochemistry, Immunohistochemistry (PFA fixed), Immunoprecipitation, Western Blot | |
| 60B1220.1 | |
| APC | |
| DNMT1 | |
| ADCADN; AIM; CXXC9; CXXC-type zinc finger protein 9; DNA (cytosine-5-)-methyltransferase 1; DNA (cytosine-5)-methyltransferase 1; DNA methyltransferase (cytosine-5) 1; DNA methyltransferase 1; DNA methyltransferase HsaI; DNA methyltransferase I; DNA methyltransferase MmuI; DNA MTase HsaI; DNA MTase MmuI; DNA MTase RnoIP; DNMT; Dnmt1; Dnmt1o; FLJ16293; HSN1E; m.HsaI; m.MmuI; m.RnoIP; MCMT; Met1; Met-1; MGC104992; MommeD2; MTase; Uim | |
| Mouse | |
| Protein G | |
| RUO | |
| 13433, 1786, 30430 | |
| 4°C | |
| Liquid |
Product Content Correction
Your input is important to us. Please complete this form to provide feedback related to the content on this product.
Product Title
Spot an opportunity for improvement?Share a Content Correction