missing translation for 'onlineSavingsMsg'
Learn More

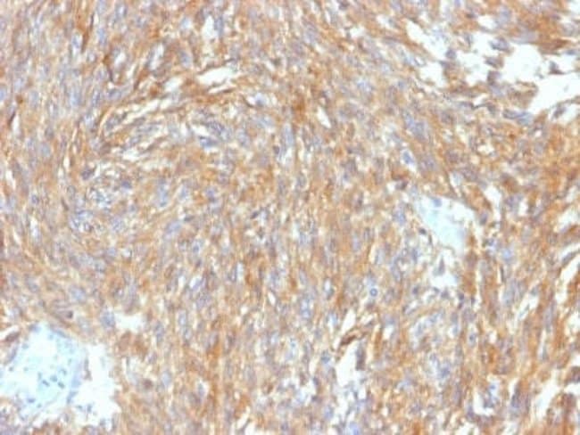
DOG1/TMEM16A Rabbit anti-Human, Clone: DG1/2564R, Novus Biologicals™

Rabbit Monoclonal Antibody

Brand:  Novus Biologicals NBP3-07652-100ug

 View more versions of this product

Product Code. 18613207

  • € 551.00 / 100µg

Please to purchase this item. Need a web account? Register with us today!

This item is not returnable. View return policy

Description

Description

DOG1/TMEM16A Monoclonal specifically detects DOG1/TMEM16A in Human samples. It is validated for Immunohistochemistry-Paraffin.
TRUSTED_SUSTAINABILITY
Specifications

Specifications

DOG1/TMEM16A
Monoclonal
0.2 mg/mL
Immunohistochemistry-Paraffin 1 to 2 μg/mL
ANO1, anoctamin 1, DOG1, ORAOV2, TAOS2, TMEM16A
A recombinant human DOG1/TMEM16A protein fragment (around aa 2-101) (exact sequence is proprietary)
100 μg
Primary
Canine, Human
Purified
Immunohistochemistry (Paraffin)
DG1/2564R
Unconjugated
10 mM PBS with 0.05% BSA
Rabbit
Protein A or G purified
RUO
55107
Store at 4°C.
IgG
Product Suggestions

Product Suggestions

Videos
SDS
Documents

Documents

Certificates
Promotions

Promotions

Product Content Correction

Your input is important to us. Please complete this form to provide feedback related to the content on this product.

Product Title

By clicking Submit, you acknowledge that you may be contacted by Fisher Scientific in regards to the feedback you have provided in this form. We will not share your information for any other purposes. All contact information provided shall also be maintained in accordance with our Privacy Policy.

Thank You! Your feedback has been submitted. Fisher Scientific is always working to improve our content for you. We appreciate your feedback.