missing translation for 'onlineSavingsMsg'
Learn More
Learn More
Invitrogen™ EB1 Polyclonal Antibody, Invitrogen™

Rabbit Polyclonal Antibody
Brand: Invitrogen™ PA5145291
This item is not returnable.
View return policy
Description
EB1 family proteins are evolutionarily conserved proteins that bind microtubule plus-ends and centrosomes and regulate the dynamics and organization of microtubules. The MAPRE genes encode the EB1 family proteins. The human MAPRE genes MAPRE1, MAPRE2, and MAPRE3 code for EB1, RP1, and EBF3 proteins, respectively. EB1 family members appear to be expressed ubiquitously. The EB1 (MAPRE1) gene, at 20q11. 2, is fused to MLL in an adult patient with pro-B acute lymphoblastic leukemia. EB1 is a microtubule-associated protein that interacts with the colorectal adenomatous polyposis coli tumor-suppressor protein and plays important roles in regulating microtubule dynamics, cell polarity, and chromosome stability.
Specifications
| EB1 | |
| Polyclonal | |
| Unconjugated | |
| Mapre1 | |
| 5530600P05Rik; adenomatosis polyposis coli binding protein Eb1; adenomatous polyposis coli-binding protein EB1; AI462499; AI504412; APC-binding protein EB1; AW260097; BIM1p; D2Ertd459e; Eb1; end-binding protein 1; Mapre1; MGC117374; MGC129946; microtubule associated protein RP/EB family member 1; Microtubule-associated protein RP/EB family member 1; microtubule-associated protein RP/EB family member 1-like protein; microtubule-associated protein, RP/EB family, member 1 | |
| Rabbit | |
| Antigen affinity chromatography, Protein A | |
| RUO | |
| 22919, 733687 | |
| Store at 4°C short term. For long term storage, store at -20°C, avoiding freeze/thaw cycles. | |
| Liquid |
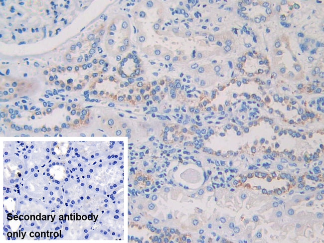
| Immunohistochemistry (Paraffin), Western Blot, Immunocytochemistry | |
| 0.5 mg/mL | |
| PBS with 50% glycerol and 0.05% Proclin 300; pH 7.4 | |
| Q15691 | |
| Mapre1 | |
| Recombinant Human MAPRE1 protein, Ala2-Tyr268 (Accession #Q15691). | |
| 200 μL | |
| Primary | |
| Human, Pig | |
| Antibody | |
| IgG |
Berichtigung von Produktinhalten
Bitte geben Sie uns Ihr Feedback zu den Produktinhalten, indem Sie das folgende Formular ausfüllen.
Name des Produkts
Haben Sie Verbesserungsvorschläge?Übermitteln Sie eine inhaltliche Korrektur