Learn More
Invitrogen™ EDF1 Polyclonal Antibody

Rabbit Polyclonal Antibody
Brand: Invitrogen™ PA596104
Description
Immunogen sequence: MAESDWDTVT VLRKKGPTAA QAKSKQAILA AQRRGEDVET SKKWAAGQNK QHSITKNTAK LDRETEELHH DRVTLEVGKV IQQGRQSKGL TQKDLATKIN EKPQVIADYE SGRAIPNNQV LGKIERAIGL KLRGKDIGKP IEKGPRAK; Positive Samples: HepG2, Mouse brain, Mouse liver, Rat brain; Cellular Location: Cytoplasm, Nucleus.
This gene is known to suppress G-protein and mitogen-activated signal transduction in mammalian cells. The encoded protein shares significant similarity with Arabidopsis FUS6, which is a regulator of light-mediated signal transduction in plant cells. Two alternatively spliced transcript variants encoding different isoforms have been found for this gene.
Specifications
| EDF1 | |
| Polyclonal | |
| Unconjugated | |
| EDF1 | |
| 0610008L11Rik; AA409425; calmodulin-associated peptide 19; calmodulin-associated peptide-19; CAP-19; CFAP280; Edf1; EDF-1; endothelial differentiation related factor 1; endothelial differentiation-related factor 1; Endothelial differentiation-related factor 1 homolog; hypothetical protein 1-9; hypothetical protein MGC73192; MBF1; MGC9058; multiprotein bridging factor 1; multiprotein-bridging factor 1; zgc:73192; zgc:86829 | |
| Rabbit | |
| Affinity Chromatography | |
| RUO | |
| 296570, 59022, 8721 | |
| -20°C, Avoid Freeze/Thaw Cycles | |
| Liquid |
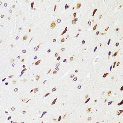
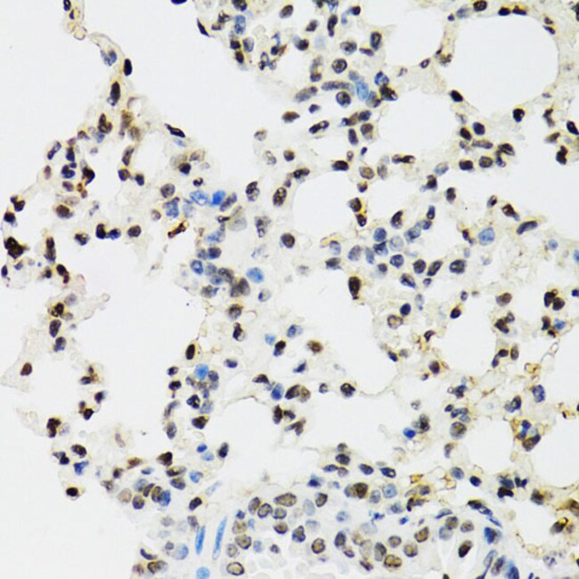
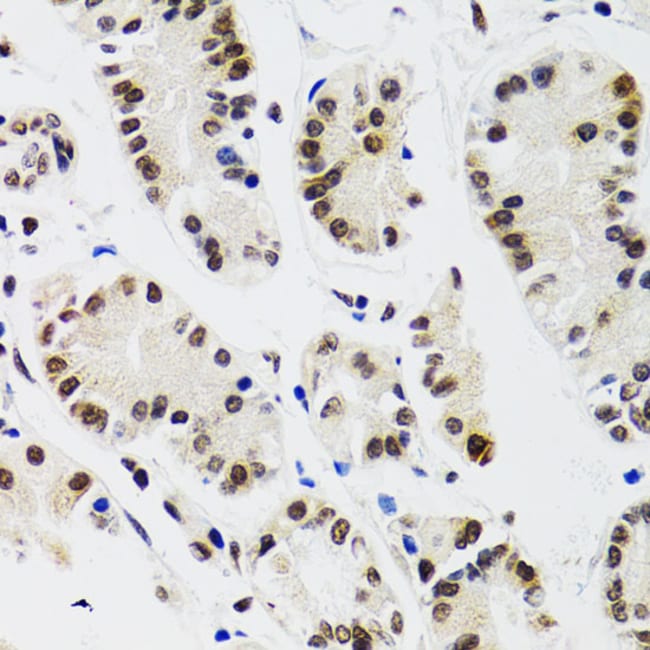
| ELISA, Immunohistochemistry (Paraffin), Western Blot | |
| 0.58 mg/mL | |
| PBS with 50% glycerol and 0.02% sodium azide; pH 7.3 | |
| O60869, P69736, Q9JMG1 | |
| EDF1 | |
| Recombinant fusion protein containing a sequence corresponding to amino acids 1-148 of human EDF1 (NP_0037831). | |
| 100 μL | |
| Primary | |
| Human, Mouse, Rat | |
| Antibody | |
| IgG |
Your input is important to us. Please complete this form to provide feedback related to the content on this product.