missing translation for 'onlineSavingsMsg'
Learn More

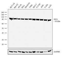
Invitrogen™ EEF2 Recombinant Rabbit Monoclonal Antibody (20H2L1)

Rabbit Recombinant Monoclonal Antibody

Brand:  Invitrogen™ 702807

Product Code. 15963894

  • € 495.00 / 100µg

Please to purchase this item. Need a web account? Register with us today!

This item is not returnable. View return policy

Description

Description

This antibody is predicted to react with Monkey, Pig, Bovine, Sheep Recombinant rabbit monoclonal antibodies are produced using in vitro expression systems. The expression systems are developed by cloning in the specific antibody DNA sequences from immunoreactive rabbits. Then, individual clones are screened to select the best candidates for production. The advantages of using recombinant rabbit monoclonal antibodies include: better specificity and sensitivity, lot-to-lot consistency, animal origin-free formulations, and broader immunoreactivity to diverse targets due to larger rabbit immune repertoire.

Catalyzes the GTP-dependent ribosomal translocation step during translation elongation. During this step, the ribosome changes from the pre-translocational (PRE) to the post-translocational (POST) state as the newly formed A-site-bound peptidyl-tRNA and P-site-bound deacylated tRNA move to the P and E sites, respectively. Catalyzes the coordinated movement of the two tRNA molecules, the mRNA and conformational changes in the ribosome.
TRUSTED_SUSTAINABILITY
Specifications

Specifications

EEF2
Recombinant Monoclonal
0.5 mg/mL
PBS with 0.09% sodium azide; pH 7.4
P13639
EEF2
Protein is corresponding to human EEF2 (aa241-aa340).
100 μg
Primary
Human
Antibody
IgG
Western Blot, Immunocytochemistry
20H2L1
Unconjugated
EEF2
EEF2; EEF-2; Ef2; EF-2; Elongation factor 2; elongation factor-2; eukaryotic translation elongation factor 2; I79_013848; polypeptidyl-tRNA translocase; SCA26; zef2
Rabbit
Protein A
RUO
1938
Store at 4°C short term. For long term storage, store at -20°C, avoiding freeze/thaw cycles.
Liquid
Product Suggestions

Product Suggestions

Videos
SDS
Documents

Documents

Certificates
Promotions

Promotions

Product Content Correction

Your input is important to us. Please complete this form to provide feedback related to the content on this product.

Product Title

By clicking Submit, you acknowledge that you may be contacted by Fisher Scientific in regards to the feedback you have provided in this form. We will not share your information for any other purposes. All contact information provided shall also be maintained in accordance with our Privacy Policy.

Thank You! Your feedback has been submitted. Fisher Scientific is always working to improve our content for you. We appreciate your feedback.