missing translation for 'onlineSavingsMsg'
Learn More

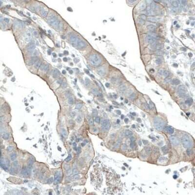
EGFR Antibody (CL0815), Novus Biologicals™

Mouse Monoclonal Antibody

Brand:  Novus Biologicals NBP2-52952

 View more versions of this product

Product Code. 18631179

  • € 539.00 / 0.10mL

Please to purchase this item. Need a web account? Register with us today!

This item is not returnable. View return policy

Description

Description

EGFR Monoclonal antibody specifically detects EGFR in Human samples. It is validated for Western Blot, Immunohistochemistry, Immunohistochemistry (Paraffin)
TRUSTED_SUSTAINABILITY
Specifications

Specifications

EGFR
Monoclonal
Unconjugated
PBS (pH 7.2), 40% Glycerol
Mouse
Protein A purified
RUO
Primary
Human
Purified
Western Blot, Immunohistochemistry, Immunohistochemistry (Paraffin)
CL0815
Western Blot 1 μg/mL, Immunohistochemistry 1:200 - 1:500, Immunohistochemistry-Paraffin 1:200 - 1:500
avian erythroblastic leukemia viral (v-erb-b) oncogene homolog, cell growth inhibiting protein 40, cell proliferation-inducing protein 61, EC 2.7.10, EC 2.7.10.1, epidermal growth factor receptor, epidermal growth factor receptor (avian erythroblastic leukemia viral (v-erb-b)oncogene homolog), ERBB, ErbB1, ERBB1PIG61, HER1, mENA, Proto-oncogene c-ErbB-1, Receptor tyrosine-protein kinase erbB-1
This antibody was developed against a recombinant protein corresponding to amino acids: EFKDSLSINATNIKHFKNCTSISGDLHILPVAFRGDSFTHTPPLDPQELDILKTVKEITGFLLIQAWPENRTDLHAFENLEIIRGRTKQHGQFSLAVVSLNITSLGLRSLKEISDGDVIISGNKNLCYANTINWKKLFGTSGQKTKIIS
0.1 mL
Cancer, Cell Biology, Cell Cycle and Replication, Cellular Markers, Cellular Signaling, Growth and Development, Hypoxia, Signal Transduction, Tumor Suppressors, Tyrosine Kinases
1956
Store at 4°C short term. Aliquot and store at -20°C long term. Avoid freeze-thaw cycles.
IgG1
Product Suggestions

Product Suggestions

Videos
SDS
Documents

Documents

Certificates
Promotions

Promotions

Product Content Correction

Your input is important to us. Please complete this form to provide feedback related to the content on this product.

Product Title

By clicking Submit, you acknowledge that you may be contacted by Fisher Scientific in regards to the feedback you have provided in this form. We will not share your information for any other purposes. All contact information provided shall also be maintained in accordance with our Privacy Policy.

Thank You! Your feedback has been submitted. Fisher Scientific is always working to improve our content for you. We appreciate your feedback.