Learn More
Invitrogen™ EHD1 Recombinant Rabbit Monoclonal Antibody (5S4P9)

Rabbit Recombinant Monoclonal Antibody
Brand: Invitrogen™ MA542814
Description
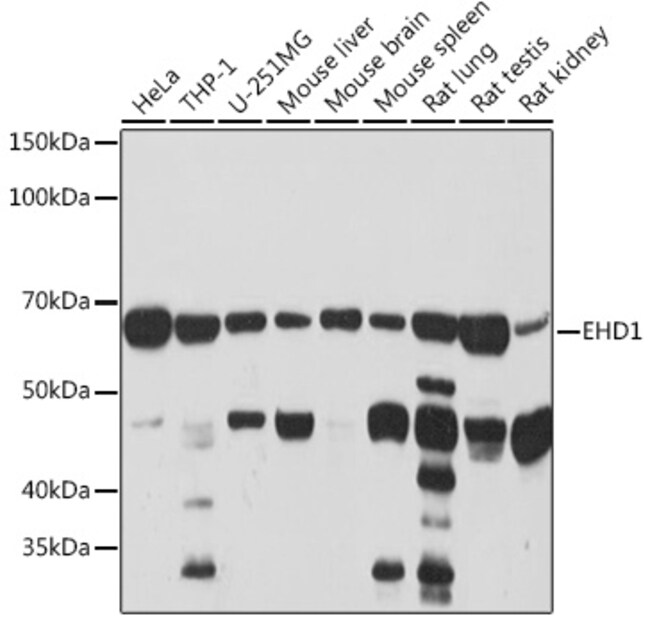
Positive test controls include: HeLa, THP-1, U-251MG, Mouse liver, Mouse brain, Mouse spleen, Rat lung, Rat testis, Rat kidney. The target is usually found in the following locations: Cell membrane, Cell projection, Cytoplasmic side, Early endosome membrane, Peripheral membrane protein, Recycling endosome membrane, cilium membrane. Immunogen sequence: MFSWVSKDAR RKKEPELFQT VAEGLRQLYA QKLLPLEEHY RFHEFHSPAL EDADFDNKPM VLLVGQYSTG KTTFIRHLIE QDFPGMRIGP EPTTDSFIAV.
EHD1 acts in early endocytic membrane fusion and membrane trafficking of recycling endosomes. EHD1 also plays a role in myoblast fusion and is recruited to endosomal membranes upon nerve growth factor stimulation, indirectly regulates neurite outgrowth. Further, EHD1 belongs to a highly conserved gene family encoding EPS15 homology (EH) domain-containing proteins. The protein-binding EH domain was first noted in EPS15, a substrate for the epidermal growth factor receptor. The EH domain has been shown to be an important motif in proteins involved in protein-protein interactions and in intracellular sorting. The EHD1 protein is thought to play a role in the endocytosis of IGF1 receptors. Alternatively spliced transcript variants have been found for the EHD1 gene.
Specifications
| EHD1 | |
| Recombinant Monoclonal | |
| 1.28 mg/mL | |
| PBS with 0.05% BSA, 50% glycerol and 0.02% sodium azide; pH 7.3 | |
| Q641Z6, Q9H4M9, Q9WVK4 | |
| EHD1 | |
| Synthetic peptide | |
| 100 μL | |
| Primary | |
| Human, Mouse, Rat | |
| Antibody | |
| IgG |
| ELISA, Immunohistochemistry (Paraffin), Western Blot | |
| 5S4P9 | |
| Unconjugated | |
| EHD1 | |
| AA409636; CDABP0131; EH domain containing 1; EH domain-containing protein 1; Ehd1; EH-domain containing 1; H-PAST; HPAST1; mPAST1; PAST; PAST homolog 1; PAST1; RGD1306960; RME-1; testilin | |
| Rabbit | |
| Affinity chromatography | |
| RUO | |
| 10938, 13660, 293692 | |
| -20°C, Avoid Freeze/Thaw Cycles | |
| Liquid |
Your input is important to us. Please complete this form to provide feedback related to the content on this product.