missing translation for 'onlineSavingsMsg'
Learn More

EIF2B3 Mouse anti-Human, Clone: OTI3H3, lyophilized, TrueMAB™

Mouse Monoclonal Antibody

Brand:  Origene Technologies CF503681

Encompass_Preferred

Product Code. 17603321

  • € 726.00 / 100µg

Please to purchase this item. Need a web account? Register with us today!

This item is not returnable. View return policy

Description

Description

Reconstitute with PBS (pH 7.3) and recommend to perform another round of desalting process using Product No. 7KMWCO

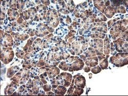
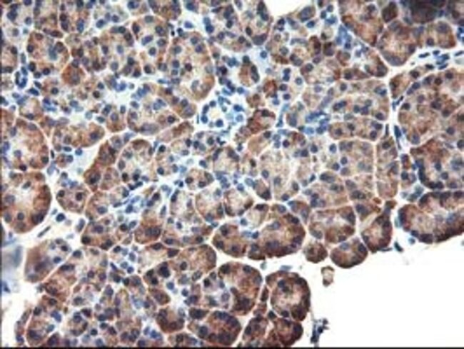
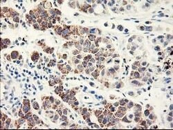
EIF2B3 catalyzes the exchange of eukaryotic initiation factor 2-bound GDP for GTP. Mutations in each of the five subunits of translation initiation factor eIF2B, including subunit 3, can cause leukoencephalopathy with vanishing white matter. EIF2B3 has also been identified as a cofactor of hepatitis C virus internal ribosome entry site-mediated translation.
Specifications

Specifications

EIF2B3
Monoclonal
Unconjugated
EIF2B3
EIF-2B, EIF2Bgamma
Mouse
Affinity Chromatography
RUO
8891
-20° C, Avoid Freeze/Thaw Cycles
Lyophilized
Immunohistochemistry (Paraffin), Western Blot
OTI3H3
PBS with 8% trehalose and no preservative; pH 7.3
Q9NR50
EIF2B3
Full length human recombit protein of human EIF2B3 produced in HEK293T cell.
100 μg
Primary
Human
Antibody
IgG1
Product Suggestions

Product Suggestions

Videos
SDS
Documents

Documents

Certificates
Promotions

Promotions

Product Content Correction

The Fisher Scientific Encompass Program offers items which are not part of our distribution portfolio. These products typically do not have pictures or detailed descriptions. However, we are committed to improving your shopping experience. Please use the form below to provide feedback related to the content on this product.

Product Title

By clicking Submit, you acknowledge that you may be contacted by Fisher Scientific in regards to the feedback you have provided in this form. We will not share your information for any other purposes. All contact information provided shall also be maintained in accordance with our Privacy Policy.

Thank You! Your feedback has been submitted. Fisher Scientific is always working to improve our content for you. We appreciate your feedback.