missing translation for 'onlineSavingsMsg'
Learn More
Learn More
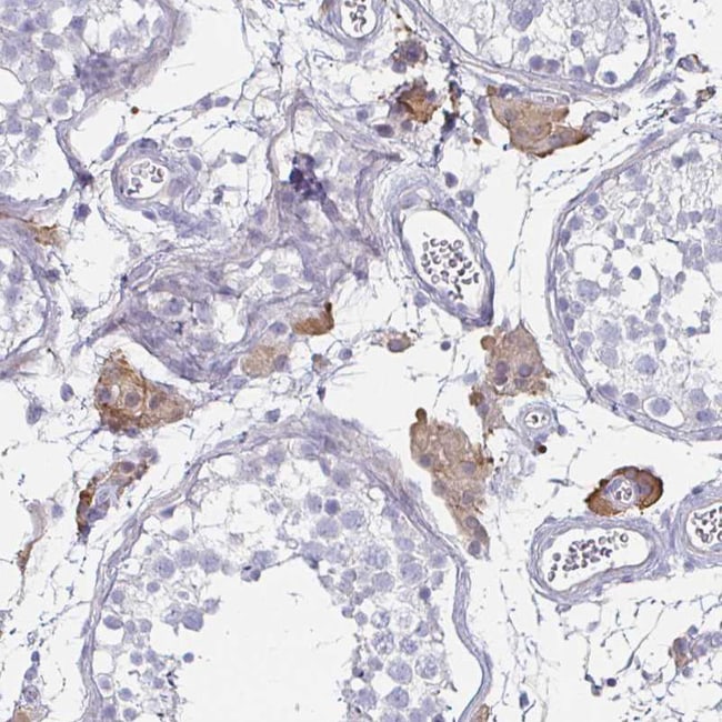
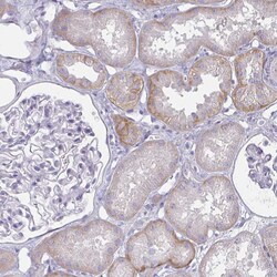
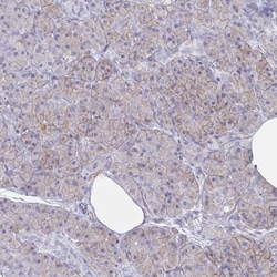
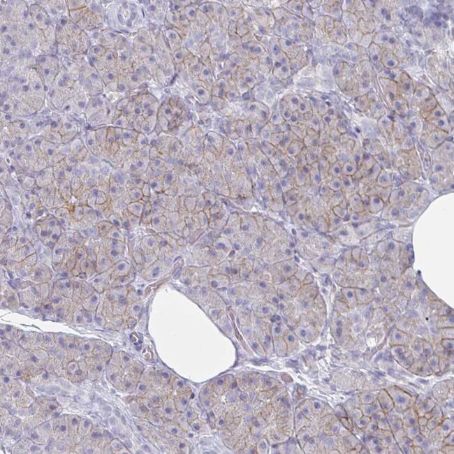
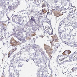
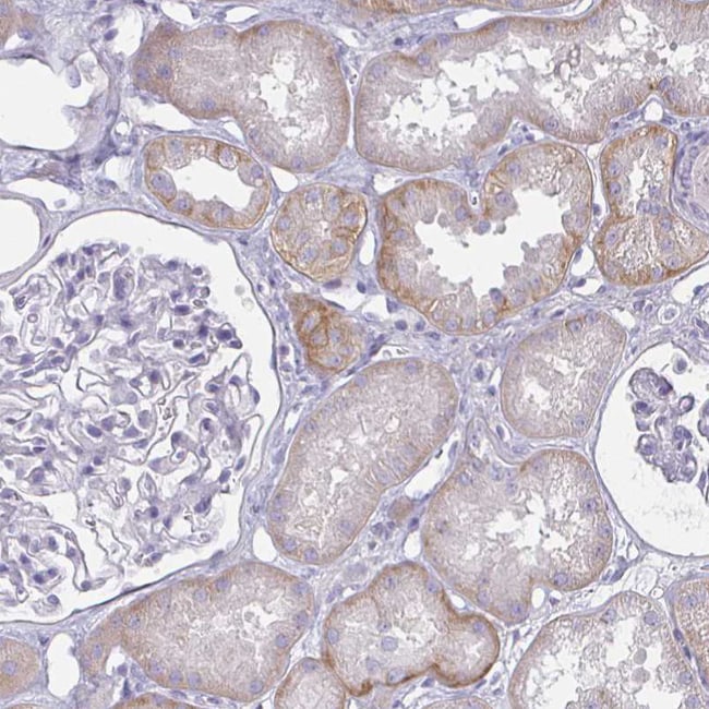
Invitrogen™ ENPP1 Polyclonal Antibody

Description
Immunogen sequence: GLKPSCAKEV KSCKGRCFER TFGNCRCDAA CVELGNCCLD YQETCIEPEH IWTC Highest antigen sequence indentity to the following orthologs: Rat - 91%, Mouse - 91%.
This gene is a member of the ecto-nucleotide pyrophosphatase/phosphodiesterase (ENPP) family. The encoded protein is a type II transmembrane glycoprotein comprising two identical disulfide-bonded subunits. This protein has broad specificity and cleaves a variety of substrates, including phosphodiester bonds of nucleotides and nucleotide sugars and pyrophosphate bonds of nucleotides and nucleotide sugars. This protein may function to hydrolyze nucleoside 5' triphosphates to their corresponding monophosphates and may also hydrolyze diadenosine polyphosphates. Mutations in this gene have been associated with 'idiopathic' infantile arterial calcification, ossification of the posterior longitudinal ligament of the spine (OPLL), and insulin resistance.
Specifications
Specifications
| Antigen | ENPP1 |
| Applications | Immunohistochemistry (Paraffin) |
| Classification | Polyclonal |
| Concentration | 0.10 mg/mL |
| Conjugate | Unconjugated |
| Formulation | PBS with 40% glycerol and 0.02% sodium azide; pH 7.2 |
| Gene | ENPP1 |
| Gene Accession No. | P22413 |
| Gene Alias | 4833416E15Rik; AI428932; alkaline phosphodiesterase 1; Alkaline phosphodiesterase I; ARHR2; C76301; CD203c; COLED; ectonucleotide pyrophosphatase/phosphodiesterase 1; ectonucleotide pyrophosphatase/phosphodiesterase family member 1; Ectonucleotide pyrophosphatase/phosphodiesterase family member 1, secreted form; E-NPP 1; Enpp1; E-NPP1; HGNC:3356; Ly-41; Ly-41 antigen; Lymphocyte antigen 41; M6S1; Membrane component chromosome 6 surface marker 1; membrane component, chromosome 6, surface marker 1; NPP1; NPPase; NPPS; Nucleotide diphosphatase; Nucleotide pyrophosphatase; OTTHUMP00000043194; PC1; PC-1; Pca; PCA1; Pca-1; PDNP1; Phosphodiesterase I/nucleotide pyrophosphatase 1; plasma-cell membrane glycoprotein 1; plasma-cell membrane glycoprotein PC-1; ttw; twy |
| Gene Symbols | ENPP1 |
| Show More |
Product Title
By clicking Submit, you acknowledge that you may be contacted by Fisher Scientific in regards to the feedback you have provided in this form. We will not share your information for any other purposes. All contact information provided shall also be maintained in accordance with our Privacy Policy.
Spot an opportunity for improvement?