missing translation for 'onlineSavingsMsg'
Learn More
Learn More
Invitrogen™ Estrogen Receptor alpha Recombinant Rabbit Monoclonal Antibody (PD00-04)

Description
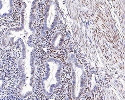
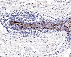
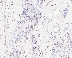
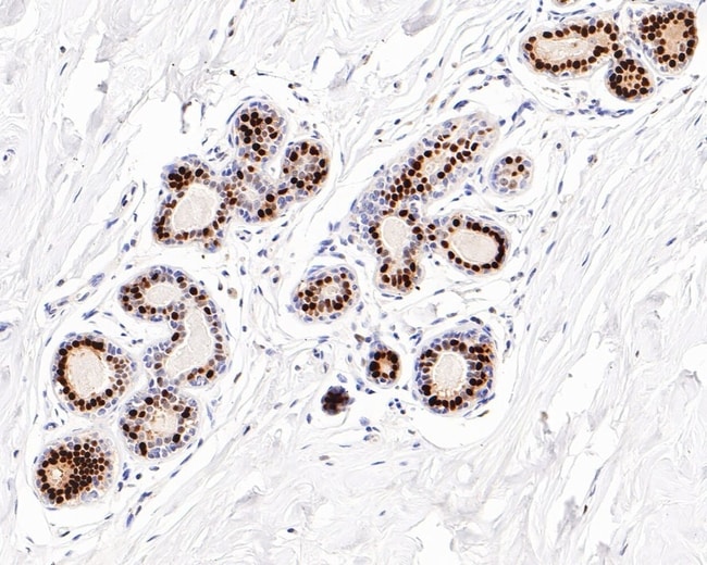
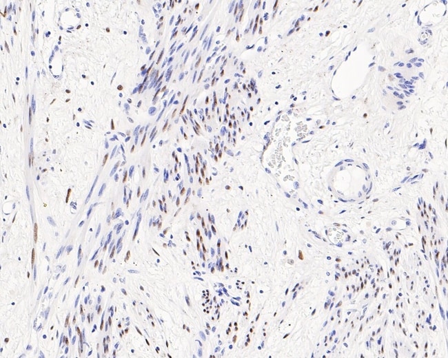
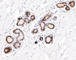
Positive control: Human cervix tissue, human breast tissue, human breast carcinoma tissue, human endometrium tissue. Predicted band size: 42 kDa Subcellular Location: Cell membrane, Nucleus, Cytoplasm.
Estrogen Receptors (ER) are members of the steroid/thyroid hormone receptor superfamily of nuclear receptors. The estrogen receptor is a ligand-activated transcription factor, that when bound to estrogen hormone, induces a conformational change that allows dimerization and binding to estrogen response elements (ERE) in DNA. When bound to EREs, ER can positively or negatively regulate gene transcription through the recruitment of coactivator or corepressor proteins. There are two different forms of the estrogen receptor, alpha and beta, encoded by separate genes (ESR1 and ESR2, respectively). Due to alternative RNA splicing, at least 4 estrogen receptor-alpha isoforms are known to exist (Isoform 1 (66 kDa), Isoform 2 (53 kDa), Isoform 3 (47 kDa), Isoform 4 (35 kDa)). Estrogen receptors are widely expressed in different tissue types and are essential for sexual development and reproductive function. They also play a role in other tissues such as bone. Estrogen receptors are involved in pathological processes including breast cancer, endometrial cancer, and osteoporosis.
Specifications
Specifications
| Antigen | Estrogen Receptor alpha |
| Applications | Immunohistochemistry (Paraffin) |
| Classification | Recombinant Monoclonal |
| Clone | PD00-04 |
| Concentration | 1 mg/mL |
| Conjugate | Unconjugated |
| Formulation | PBS with 0.1% BSA, 40% glycerol and 0.05% sodium azide; pH 7.4 |
| Gene | ESR1 |
| Gene Accession No. | P03372 |
| Gene Alias | DKFZp686N23123; ER; Er alpha; ER36; ERa; ERalpha; ER-alpha; ERalpha protein; ESR; esr 1; Esr1; esr-1; ESRA; Estr; Estra; Estradiol receptor; estrogen nuclear receptor alpha; Estrogen receptor; estrogen receptor 1; estrogen receptor 1 (alpha); estrogen receptor alpha; estrogen receptor alpha c-terminus splice variant 1-2; estrogen receptor alpha E1-E2-1-2; estrogen receptor alpha E1-N2-E2-1-2; estrogen receptor alpha splice variant, CTERP-1; estrogen receptor alpha splice variant, ERalphaDup5; estrogen receptor alpha splice variant, ERalphai45a; estrogen receptor alpha splice variant, ERalphai45bL; estrogen receptor alpha splice variant, ERalphai45bS; estrogen receptor alpha splice variant, ERalphai45c; estrogen receptor alpha splice variant, ERalphai56; estrogen receptor alpha splice variant, ERalphai67; estrogen receptor alpha variant delta 4; estrogen receptor protein; estrogen receptor, alpha; ESTRR; hER-alpha36; I79_001166; Nr3a1; nuclear receptor; nuclear receptor subfamily 3 group A member 1; RNESTROR; RP1-130E4.1; unnamed protein product |
| Show More |
Product Title
By clicking Submit, you acknowledge that you may be contacted by Fisher Scientific in regards to the feedback you have provided in this form. We will not share your information for any other purposes. All contact information provided shall also be maintained in accordance with our Privacy Policy.
Spot an opportunity for improvement?