missing translation for 'onlineSavingsMsg'
Learn More
Learn More
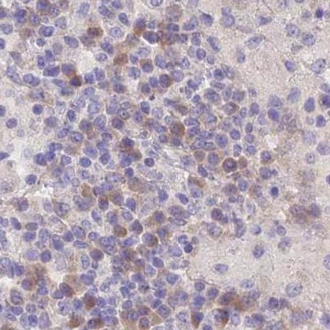
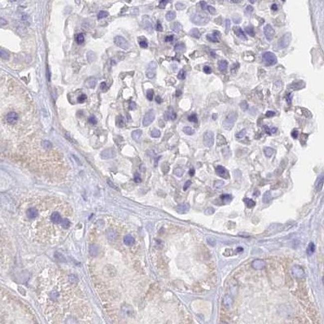
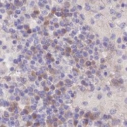
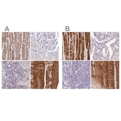
Invitrogen™ FAM168B Polyclonal Antibody

Description
Immunogen sequence: MNPVYSPGSS GVPYANAKGI GYPAGFPMGY AAAAPAYSPN MYPGANPTFQ TGYTPGTPYK VSCSPTSGAV PPYSSSP Highest antigen sequence identity to the following orthologs: Mouse - 97%, Rat - 97%.
Inhibitor of neuronal axonal outgrowth. Acts as a negative regulator of CDC42 and STAT3 and a positive regulator of STMN2. Positive regulator of CDC27. [UniProt].
Specifications
Specifications
| Antigen | FAM168B |
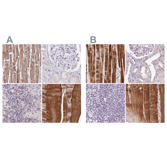
| Applications | Immunohistochemistry (Paraffin) |
| Classification | Polyclonal |
| Concentration | 0.2 mg/mL |
| Conjugate | Unconjugated |
| Formulation | PBS with 40% glycerol and 0.02% sodium azide; pH 7.2 |
| Gene | FAM168B |
| Gene Accession No. | A1KXE4 |
| Gene Alias | Fam168b; family with sequence similarity 168 member B; family with sequence similarity 168, member B; KIAA0280L; Kiaa4042; MANI; mKIAA4042; myelin associated neurite outgrowth inhibitor; myelin-associated neurite-outgrowth inhibitor; p20; protein FAM168B |
| Gene Symbols | FAM168B |
| Show More |
Product Title
By clicking Submit, you acknowledge that you may be contacted by Fisher Scientific in regards to the feedback you have provided in this form. We will not share your information for any other purposes. All contact information provided shall also be maintained in accordance with our Privacy Policy.
Spot an opportunity for improvement?