missing translation for 'onlineSavingsMsg'
Learn More
Learn More
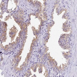
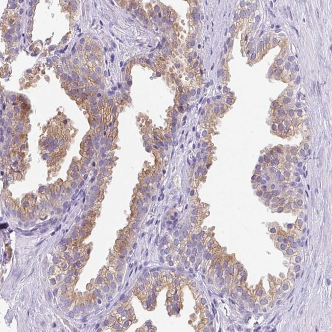
Invitrogen™ FAM177A1 Polyclonal Antibody

Description
Immunogen sequence: NRMSEEAEKQ YQQNKLQTDS IVQTDQPETV ISSSFVNVNF EMEGDSEVIM ESKQNPVSVP Highest antigen sequence identity to the following orthologs: Mouse - 83%, Rat - 80%.
This gene encodes a member of a conserved protein family. Alternative splicing results in multiple transcript variants. This gene is thought to be associated with susceptibility to juvenile idiopathic arthritis.
Specifications
Specifications
| Antigen | FAM177A1 |
| Applications | Immunohistochemistry (Paraffin), Immunocytochemistry |
| Classification | Polyclonal |
| Concentration | 0.1 mg/mL |
| Conjugate | Unconjugated |
| Formulation | PBS with 40% glycerol and 0.02% sodium azide; pH 7.2 |
| Gene | FAM177A1 |
| Gene Accession No. | Q8N128 |
| Gene Alias | C14orf24; FAM177A1; family with sequence similarity 177 member A1; family with sequence similarity 177, member A1; protein FAM177A1 |
| Gene Symbols | FAM177A1 |
| Show More |
Product Title
By clicking Submit, you acknowledge that you may be contacted by Fisher Scientific in regards to the feedback you have provided in this form. We will not share your information for any other purposes. All contact information provided shall also be maintained in accordance with our Privacy Policy.
Spot an opportunity for improvement?