missing translation for 'onlineSavingsMsg'
Learn More

TDP-43/TARDBP Antibody (JM51-10), Novus Biologicals™

Product Code. 18207307 Shop All Bio Techne Products
Change view
Click to view available options
Quantity:
100 μL
Unit Size:
100µL
1 product options available for selection
Product selection table with 1 available options. Use arrow keys to navigate and Enter or Space to select.
Product Code. Quantity unitSize
18207307 100 μL 100µL
Use arrow keys to navigate between rows. Press Enter or Space to select a product option. 1 options available.
1 options
This item is not returnable. View return policy
Product Code. 18207307 Supplier Novus Biologicals Supplier No. NBP280137

Please to purchase this item. Need a web account? Register with us today!

This item is not returnable. View return policy

Rabbit Monoclonal Antibody

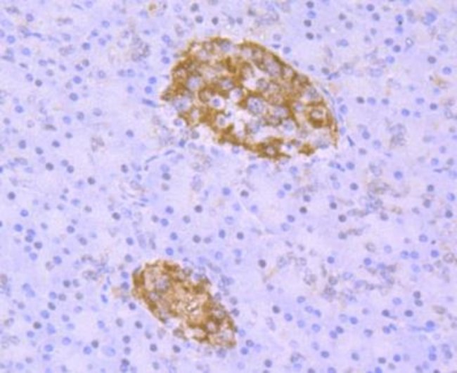
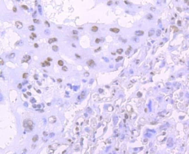
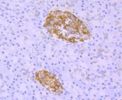
TDP-43/TARDBP Monoclonal specifically detects TDP-43/TARDBP in Human, Mouse, Rat, Zebrafish samples. It is validated for Western Blot, Flow Cytometry, Immunohistochemistry, Immunocytochemistry/Immunofluorescence, Immunoprecipitation, Immunohistochemistry-Paraffin.
TRUSTED_SUSTAINABILITY

Specifications

Antigen TDP-43/TARDBP
Applications Western Blot, Flow Cytometry, Immunohistochemistry, Immunocytochemistry, Immunofluorescence, Immunohistochemistry (Paraffin)
Classification Monoclonal
Clone JM51-10
Concentration 1 mg/mL
Conjugate Unconjugated
Dilution Western Blot 1:500-1:5000, Flow Cytometry 1:50-1:100, Immunohistochemistry, Immunocytochemistry/Immunofluorescence 1:100-1:500, Immunohistochemistry-Paraffin 1:50-1:200
Formulation TBS (pH7.4), 0.05% BSA, 40% Glycerol with 0.05% Sodium Azide
Gene Alias ALS10TAR DNA-binding protein-43, TAR DNA binding protein, TDP43, TDP-43, TDP-43TAR DNA-binding protein 43
Gene Symbols TARDBP
Host Species Rabbit
Immunogen Synthetic peptide within Human TDP-43/TARDBP aa 354-390/ 414; (2)aa 253-290/ 414. (SwissProt: Q13148 Human; SwissProt: Q921F2 Mouse; Unigene:2633 Rat; Entrez Gene:325052 Zebrafish)
Purification Method Protein A purified
Quantity 100 μL
Regulatory Status RUO
Research Discipline Cell Cycle and Replication, DNA replication Transcription Translation and Splicing, Immunology, Mitochondrial Fusion Proteins, Neurodegeneration, Neuronal Cell Markers, Neuroscience, Virology Bacteria and Parasites
Primary or Secondary Primary
Gene ID (Entrez) 23435
Target Species Human, Mouse, Rat, Zebrafish
Content And Storage Store at 4°C short term. Aliquot and store at -20°C long term. Avoid freeze-thaw cycles.
Form Purified
Isotype IgG
Show More Show Less
Product Title
Select an issue

By clicking Submit, you acknowledge that you may be contacted by Fisher Scientific in regards to the feedback you have provided in this form. We will not share your information for any other purposes. All contact information provided shall also be maintained in accordance with our Privacy Policy.