missing translation for 'onlineSavingsMsg'
Learn More

FAM84B Mouse anti-Human, Clone: OTI4A4, TrueMAB™, Origene

Mouse Monoclonal Antibody

Brand:  Origene Technologies TA501916S

Encompass_Preferred

Product Code. 17555511

  • € 242.00 / 30µL

Please to purchase this item. Need a web account? Register with us today!

Les retours ne sont pas autorisés pour ce produit. Afficher la politique du retour.

Description

Description

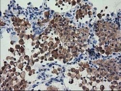
FAM84B Monoclonal antibody specifically detects FAM84B in Human samples. It is validated for Flow Cytometry, Immunocytochemistry, Immunohistochemistry (Paraffin), Western Blot
Spécification

Spécification

FAM84B
Monoclonal
1 mg/mL
PBS with 1% BSA, 50% glycerol and 0.02% sodium azide
Q96KN1
Mouse
Affinity chromatography
RUO
157638
-20° C, Avoid Freeze/Thaw Cycles
Liquid
Flow Cytometry, Immunocytochemistry, Immunohistochemistry (Paraffin), Western Blot
OTI4A4
Unconjugated
FAM84B
BCMP101; BF642811; breast cancer membrane protein 101; breast cancer membrane-associated protein 101; D330050I23Rik; FAM84B; family with sequence similarity 84 member B; family with sequence similarity 84, member B; LRAT domain-containing 2; LRATD2; neurological/sensory 2; NSE2; Protein FAM84B; Protein LRATD2; Protein NSE2; RGD1562236
Full length human recombinant protein of human FAM84B produced in HEK293T cell.
30 μL
Primary
Human
Antibody
IgG1
Suggestions de produits

Suggestions de produits

Vidéos
FDS
Documents

Documents

Certificats
Promotions

Promotions

Correction du contenu d'un produit

Le programme Encompass de Fisher Scientific propose des articles qui ne font pas partie de notre portefeuille de distribution. Ces produits n'ont généralement pas de photos ou de descriptions détaillées. Cependant, nous nous engageons à améliorer votre expérience d'achat. Veuillez utiliser le formulaire ci-dessous pour nous faire part de vos commentaires sur le contenu de ce produit.

Nom du produit

En cliquant sur Soumettre, vous reconnaissez que vous pouvez être contacté par Fisher Scientific au sujet des informations que vous avez fournies dans ce formulaire. Nous ne partagerons pas vos informations à d'autres fins. Toutes les informations de contact fournies seront également conservées conformément à notre politique de confidentialité. Politique de confidentialité.

Merci de nous aider à améliorer notre site web. Votre commentaire a été soumis