missing translation for 'onlineSavingsMsg'
Learn More
Learn More
Description
Immunogen sequence: GSQLPKPRML RESGHGDAHL QEYAGNFQGI RFHYDRNPGT DAVAQTSLEE FNVLEMEVMR RQLYAVNRRL RALEEQGATW Highest antigen sequence identity to the following orthologs: Mouse - 45%, Rat - 26%.
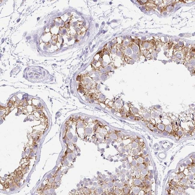
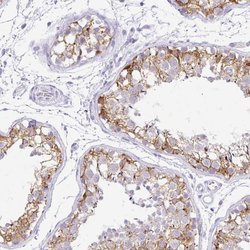
This gene encodes a cancer-testis antigen that is highly expressed in hepatocellular carcinomas and other tumors and weakly expressed in normal tissues except testis. The protein is strongly expressed in spermatogonia, primary spermatocytes, and Sertoli cells in seminiferous tubules. This protein may have a role in the control of early testicular differentiation and cell proliferation.
Specifications
Specifications
| Antigen | FATE1 |
| Applications | Immunohistochemistry (Paraffin) |
| Classification | Polyclonal |
| Concentration | 0.3 mg/mL |
| Conjugate | Unconjugated |
| Formulation | PBS with 40% glycerol and 0.02% sodium azide; pH 7.2 |
| Gene | FATE1 |
| Gene Accession No. | Q969F0 |
| Gene Alias | 9230118O15Rik; BJ-HCC-2 antigen; cancer/testis antigen 43; CT43; EGK_21049; FATE; FATE1; fetal and adult testis expressed 1; fetal and adult testis expressed transcript protein; fetal and adult testis-expressed transcript protein; Tumor antigen BJ-HCC-2 |
| Gene Symbols | FATE1 |
| Show More |
Product Title
By clicking Submit, you acknowledge that you may be contacted by Fisher Scientific in regards to the feedback you have provided in this form. We will not share your information for any other purposes. All contact information provided shall also be maintained in accordance with our Privacy Policy.
Spot an opportunity for improvement?
