missing translation for 'onlineSavingsMsg'
Learn More

FGFR2 Mouse anti-Human, Clone: OTI3F8, lyophilized, TrueMAB™

Mouse Monoclonal Antibody

Brand:  Origene Technologies CF502799

Encompass_Preferred

Product Code. 17632641

  • € 726.00 / 100µg

Please to purchase this item. Need a web account? Register with us today!

This item is not returnable. View return policy

Description

Description

Reconstitute with PBS (pH 7.3) and recommend to perform another round of desalting process using Product No. 7KMWCO

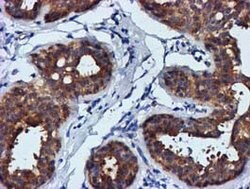
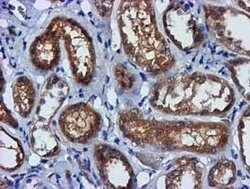
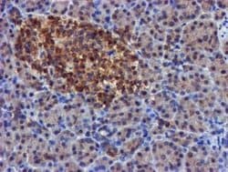
FGFR2 is a member of the fibroblast growth factor receptor family. It is a tyrosine-protein kinase that acts as a cell-surface receptor for fibroblast growth factors and plays a central role in the regulation of cell proliferation, differentiation, migration, apoptosis, and embryonic development. FGFR family members differ from one another in their ligand affinities and tissue distribution. A full-length representative protein consists of an extracellular region, composed of three immunoglobulin-like domains, a single hydrophobic membrane-spanning segment and a cytoplasmic tyrosine kinase domain. Mutations in this gene are associated with Crouzon syndrome, Pfeiffer syndrome, Craniosynostosis, Apert syndrome, Jackson-Weiss syndrome, Beare-Stevenson cutis gyrata syndrome, Saethre-Chotzen syndrome, and syndromic craniosynostosis. Multiple alternatively spliced transcript variants encoding different isoforms have been noted for this gene.
Specifications

Specifications

FGFR2
Monoclonal
Unconjugated
FGFR2
BBDS, BEK, BFR-1, CD332, CEK3, CFD1, ECT1, JWS, K-SAM, KGFR, TK14, TK25
Mouse
Affinity Chromatography
RUO
2263
-20° C, Avoid Freeze/Thaw Cycles
Lyophilized
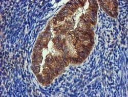
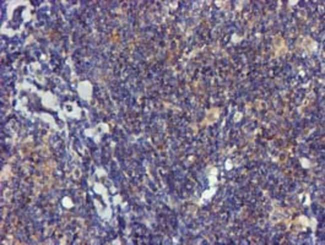
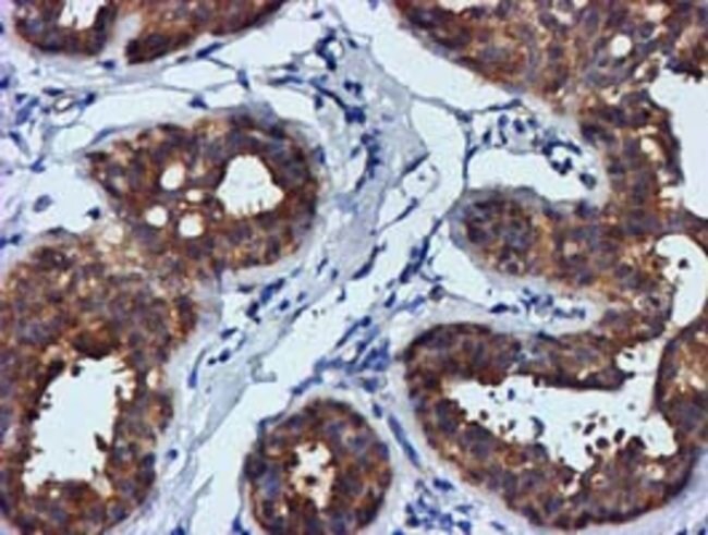
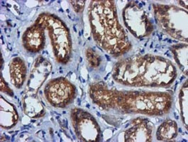
Flow Cytometry, Immunocytochemistry, Immunofluorescence, Immunohistochemistry (Paraffin), Western Blot
OTI3F8
PBS with 8% trehalose and no preservative; pH 7.3
P21802
FGFR2
Full length human recombit protein of human FGFR2 produced in HEK293T cell.
100 μg
Primary
Human
Antibody
IgG2a
Product Suggestions

Product Suggestions

Videos
SDS
Documents

Documents

Certificates
Promotions

Promotions

Product Content Correction

The Fisher Scientific Encompass Program offers items which are not part of our distribution portfolio. These products typically do not have pictures or detailed descriptions. However, we are committed to improving your shopping experience. Please use the form below to provide feedback related to the content on this product.

Product Title

By clicking Submit, you acknowledge that you may be contacted by Fisher Scientific in regards to the feedback you have provided in this form. We will not share your information for any other purposes. All contact information provided shall also be maintained in accordance with our Privacy Policy.

Thank You! Your feedback has been submitted. Fisher Scientific is always working to improve our content for you. We appreciate your feedback.