missing translation for 'onlineSavingsMsg'
Learn More

Invitrogen™ Fibrinogen gamma Monoclonal Antibody (K24024_13F12), Invitrogen™

Mouse Monoclonal Antibody

€ 524.00 - € 876.00

Specifications

Antigen Fibrinogen gamma
Clone K24024_13F12
Concentration 1 mg/mL
Applications Immunohistochemistry (Paraffin), Immunoprecipitation, Western Blot
Classification Monoclonal
View More Specs

Products 2
Product Code Brand Quantity Price Quantity & Availability  
Product Code Brand Quantity Price Quantity & Availability  
30196367
View Documents
Invitrogen™
MA555848
50 μL
€ 524.00
50µg
View alternative products
Save Up to 
»
Please to purchase this item. Need a web account? Register with us today!
30202949
View Documents
Invitrogen™
MA556228
200 μL
€ 876.00
200µg
View alternative products
Save Up to 
»
Please to purchase this item. Need a web account? Register with us today!
Description

Description

Sequence of this protein is as follows: KVDKDLQSLE DILHQVENKT SEVKQLIKAI QLTYNPDESS KPNMIDAATL KSRKMLEEIM KYEASILTHD SSIRYLQEIY NSNNQKIVNL KEKVAQLEAQ

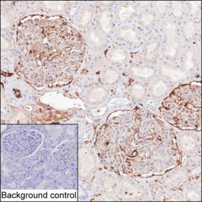
Fibrinogen gamma Monoclonal antibody specifically detects Fibrinogen gamma in Human samples. It is validated for Immunohistochemistry (Paraffin), Immunoprecipitation, Western Blot
Specifications

Specifications

Fibrinogen gamma
1 mg/mL
Monoclonal
Liquid
RUO
PBS with 50% glycerol, 0.5% BSA and 0.09% sodium azide
3010002H13Rik; AI256424; FGG; fibg; fibrinogen; fibrinogen gamma chain; Fibrinogen gamma-B chain; fibrinogen gamma-chain; fibrinogen, gamma polypeptide; gamma'; gamma-fibrinogen; PRO2061; testicular tissue protein Li 70; Unknown (protein for MGC:127951)
Recombinant human FGG (immunogen range is 61-160).
Primary
Store at 4°C short term. For long term storage, store at -20°C, avoiding freeze/thaw cycles.
Fgg
K24024_13F12
Immunohistochemistry (Paraffin), Immunoprecipitation, Western Blot
Unconjugated
Mouse
Human
P02679
2266
IgG1
Protein A
Antibody
Videos
SDS
Documents

Documents

Product Certifications
Product Content Correction

Your input is important to us. Please complete this form to provide feedback related to the content on this product.

Product Title

By clicking Submit, you acknowledge that you may be contacted by Fisher Scientific in regards to the feedback you have provided in this form. We will not share your information for any other purposes. All contact information provided shall also be maintained in accordance with our Privacy Policy.

Thank You! Your feedback has been submitted. Fisher Scientific is always working to improve our content for you. We appreciate your feedback.