missing translation for 'onlineSavingsMsg'
Få mere at vide

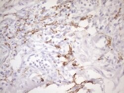
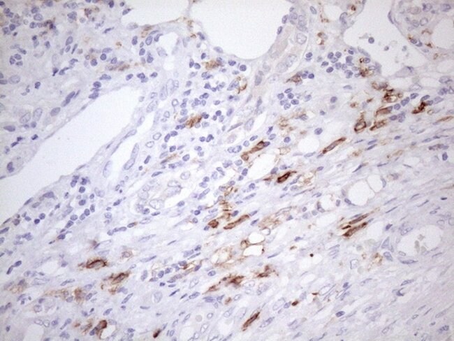
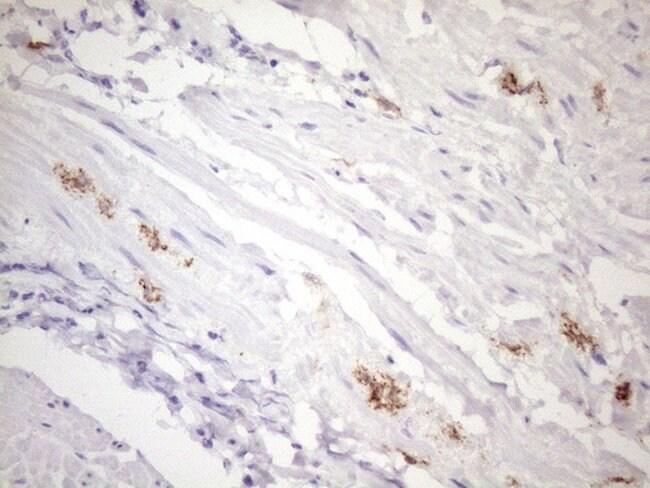
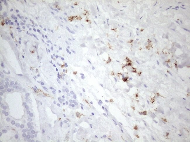
FOLR2 Mouse anti-Human, Clone: OTI4G6, lyophilized, TrueMAB™

Mouse Monoclonal Antibody

Brand:  Origene Technologies CF808026

Encompass_Preferred

Produktkode 17679621

  • € 750.20 / 100µg

Please to purchase this item. Need a web account? Register with us today!

Denne vare kan ikke returneres. Se returpolitik

Beskrivelse

Beskrivelse

Reconstitute with PBS (pH 7.3) and recommend to perform another round of desalting process using Product No. 7KMWCO

FOLR2 is a member of the folate receptor (FOLR) family, and these genes exist in a cluster on chromosome 11. Members of this gene family have a high affinity for folic acid and for several reduced folic acid derivatives, and they mediate delivery of 5-methyltetrahydrofolate to the interior of cells. This protein has a 68% and 79% sequence homology with the FOLR1 and FOLR3 proteins, respectively. Although this protein was originally thought to be specific to placenta, it can also exist in other tissues, and it may play a role in the transport of methotrexate in synovial macrophages in rheumatoid arthritis patients.
Tekniske data

Tekniske data

FOLR2
Monoclonal
Unconjugated
FOLR2
BETA-HFR, FBP, FBP/PL-1, FR-BETA, FR-P3
Mouse
Affinity Chromatography
RUO
2350
-20° C, Avoid Freeze/Thaw Cycles
Lyophilized
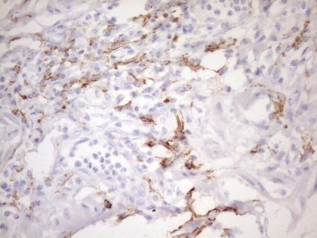
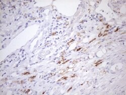
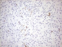
Immunohistochemistry (Paraffin), Western Blot
OTI4G6
PBS with 8% trehalose and no preservative; pH 7.3
P14207
FOLR2
Human recombit protein fragment corresponding to amino acids 20-221 of human FOLR2 produced in E.coli.
100 μg
Primary
Human
Antibody
IgG1
Produktforslag

Produktforslag

Videoer
SDS
Dokumenter

Dokumenter

Certifikater
Kampagner

Kampagner

Korrektion af produktindhold

Fisher Scientific Encompass-programmet tilbyder varer, som ikke er en del af vores distributionsportefølje. Disse produkter har typisk ikke billeder eller detaljerede beskrivelser. Vi er dog forpligtet til at forbedre din shoppingoplevelse. Brug formularen nedenfor til at give feedback relateret til indholdet på dette produkt.

Produkttitel

Ved at klikke på Send, anerkender du, at du kan blive kontaktet af Fisher Scientific med hensyn til den feedback, du har givet i denne formular. Vi deler ikke dine oplysninger til andre formål. Alle angivne kontaktoplysninger skal også vedligeholdes i overensstemmelse med vores Privatlivspolitik.

Mange tak! Din feedback er blevet sendt. Hos Fisher Scientific arbejder vi altid på at forbedre vores indhold for dig. Vi sætter pris på din feedback.