missing translation for 'onlineSavingsMsg'
Learn More

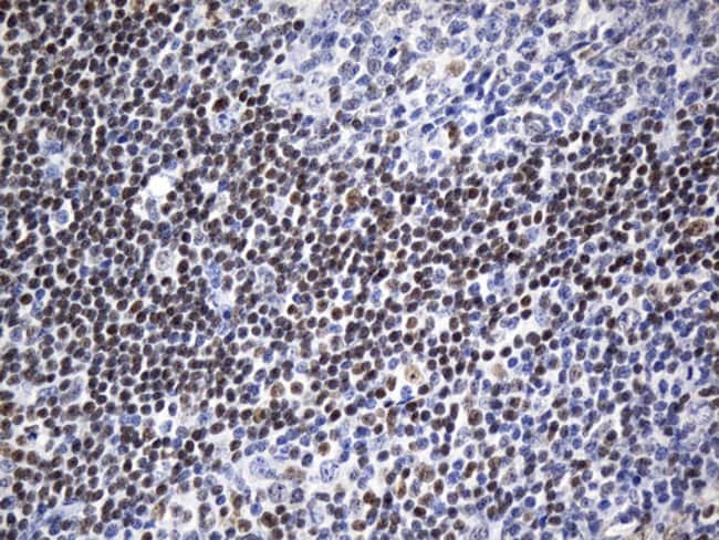
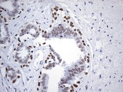
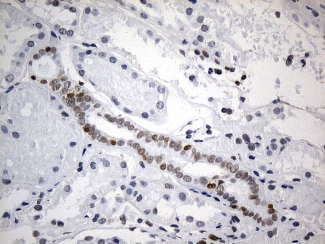
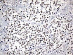
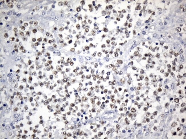
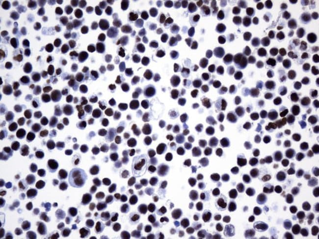
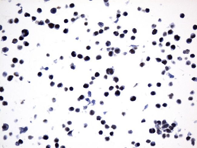
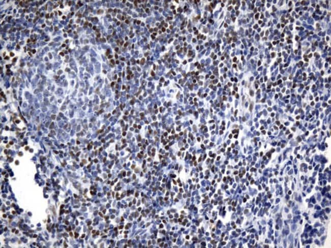
FOXP1 Mouse anti-Human, Clone: UMAB242, liquid, UltraMAB™

Mouse Monoclonal Antibody

Brand:  Origene Technologies UM800134

Encompass_Preferred

Product Code. 17539994

  • € 738.10 / 100µL

Please to purchase this item. Need a web account? Register with us today!

This item is not returnable. View return policy

Description

Description

Transcriptional repressor. Can act with CTBP1 to synergistically repress transcription but CTPBP1 is not essential. Plays an important role in the specification and differentiation of lung epithelium. Acts cooperatively with FOXP4 to regulate lung secretory epithelial cell fate and regeneration by restricting the goblet cell lineage program; the function may involve regulation of AGR2. Essential transcriptional regulator of B-cell development. Involved in regulation of cardiac muscle cell proliferation. Involved in the columnar organization of spinal motor neurons. Promotes the formation of the lateral motor neuron column (LMC) and the preganglionic motor column (PGC) and is required for respective appropriate motor axon projections. The segment-appropriate generation of spinal chord motor columns requires cooperation with other Hox proteins. Can regulate PITX3 promoter activity; may promote midbrain identity in embryonic stem cell-derived dopamine neurons by regulating PITX3. Negatively regulates the differentiation of T follicular helper cells T(FH)s. Involved in maintaice of hair follicle stem cell quiescence; the function probably involves regulation of FGF18. Represses transcription of various pro-apoptotic genes and cooperates with NF-kappa B-signaling in promoting B-cell expansion by inhibition of caspase-dependent apoptosis. Binds to CSF1R promoter elements and is involved in regulation of monocyte differentiation and macrophage functions; repression of CSF1R in monocytes seems to involve NCOR2 as corepressor. Involved in endothelial cell proliferation, tube formation and migration indicative for a role in angiogenesis; the role in neovascularization seems to implicate suppression of SEMA5B. Can negatively regulate androgen receptor signaling Isoform 8: Involved in transcriptional regulation in embryonic stem cells (ESCs). Stimulates expression of transcription factors that are required for pluripotency and decreases expression of differentiation-associated genes. Has distinct DNA-binding specifities as compared to the canonical form and preferentially binds DNA with the sequence 5′-CGATACAA-3′ (or closely related sequences). Promotes ESC self-renewal and pluripotency.
Specifications

Specifications

FOXP1
Monoclonal
Unconjugated
FOXP1
12CC4, HSPC215, MFH, QRF1, hFKH1B
Mouse
Affinity Chromatography
RUO
27086
-20° C, Avoid Freeze/Thaw Cycles
Liquid
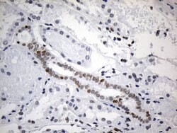
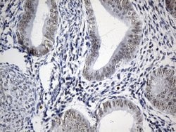
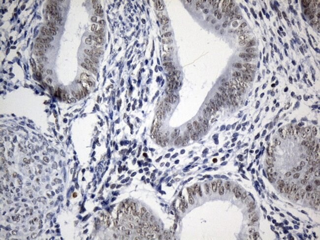
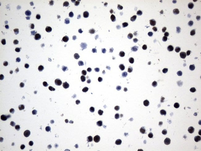
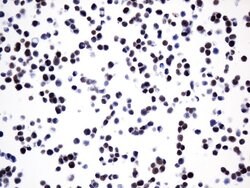
Immunohistochemistry (Paraffin)
UMAB242
PBS with 1% BSA, 50% glycerol and 0.02% sodium azide
Q9H334
FOXP1
Full length human recombit protein of human FOXP1 produced in SF9 cell.
100 μL
Primary
Human
Antibody
IgG2b
Product Suggestions

Product Suggestions

Videos
SDS
Documents

Documents

Certificates
Promotions

Promotions

Product Content Correction

The Fisher Scientific Encompass Program offers items which are not part of our distribution portfolio. These products typically do not have pictures or detailed descriptions. However, we are committed to improving your shopping experience. Please use the form below to provide feedback related to the content on this product.

Product Title

By clicking Submit, you acknowledge that you may be contacted by Fisher Scientific in regards to the feedback you have provided in this form. We will not share your information for any other purposes. All contact information provided shall also be maintained in accordance with our Privacy Policy.

Thank You! Your feedback has been submitted. Fisher Scientific is always working to improve our content for you. We appreciate your feedback.