missing translation for 'onlineSavingsMsg'
Learn More
Learn More
Invitrogen™ FTSJD2 Polyclonal Antibody

Rabbit Polyclonal Antibody
Brand: Invitrogen™ PA556306
This item is not returnable.
View return policy
Description
Immunogen sequence: GKPLVKDREA ELLYFADVCA GPGGFSEYVL WRKKWHAKGF GMTLKGPNDF KLEDFYSASS ELFEPYYGEG GIDGDGDITR PENISAFRNF VL Highest antigen sequence identity to the following orthologs: Mouse - 91%, Rat - 90%.
S-adenosyl-L-methionine-dependent methyltransferase that mediates mRNA cap1 2'-O-ribose methylation to the 5'-cap structure of mRNAs. Methylates the ribose of the first nucleotide of a m(7)GpppG-capped mRNA and small nuclear RNA (snRNA) to produce m(7)GpppRm (cap1). Displays a preference for cap0 transcripts. Cap1 modification is linked to higher levels of translation. May be involved in the interferon response pathway. [UniProt].
Specifications
| FTSJD2 | |
| Polyclonal | |
| Unconjugated | |
| CMTR1 | |
| 1300018I05Rik; AI451264; Cap methyltransferase 1; Cap1 2'O-ribose methyltransferase 1; cap-specific mRNA (nucleoside-2'-O-)-methyltransferase 1; cmtr1; FtsJ methyltransferase domain containing 2; ftsJ methyltransferase domain-containing protein 2; ftsjd2; hMTr1; hypothetical protein LOC393102; interferon-stimulated gene 95 kDa protein; ISG95; KIAA0082; LOW QUALITY PROTEIN: cap-specific mRNA (nucleoside-2'-O-)-methyltransferase 1; LRRG00129; mKIAA0082; MTr1; RGD1307801; S-adenosyl-L-methionine-dependent methyltransferase ftsjd2; zgc:55336 | |
| Rabbit | |
| Antigen Affinity Chromatography | |
| RUO | |
| 23070 | |
| Store at 4°C short term. For long term storage, store at -20°C, avoiding freeze/thaw cycles. | |
| Liquid |
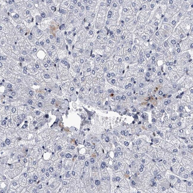
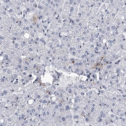
| Immunohistochemistry (Paraffin), Western Blot, Immunocytochemistry | |
| 0.05 mg/mL | |
| PBS with 40% glycerol and 0.02% sodium azide; pH 7.2 | |
| Q8N1G2 | |
| CMTR1 | |
| Recombinant protein corresponding to Human FTSJD2. Recombinant protein control fragment (Product #RP-94859). | |
| 100 μL | |
| Primary | |
| Human | |
| Antibody | |
| IgG |
Product Content Correction
Your input is important to us. Please complete this form to provide feedback related to the content on this product.
Product Title
Spot an opportunity for improvement?Share a Content Correction