missing translation for 'onlineSavingsMsg'
Learn More

Invitrogen™ GAD67 Recombinant Rabbit Monoclonal Antibody (HL1096)

Rabbit Recombinant Monoclonal Antibody

Brand:  Invitrogen™ MA550303

Product Code. 18006561

  • € 468.00 / 100µL

Please to purchase this item. Need a web account? Register with us today!

This item is not returnable. View return policy

Description

Description

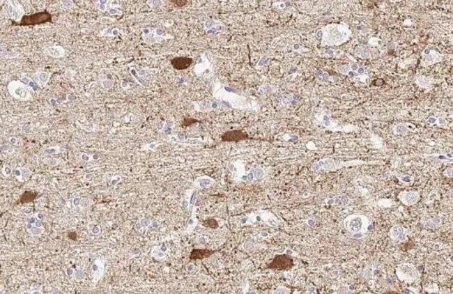
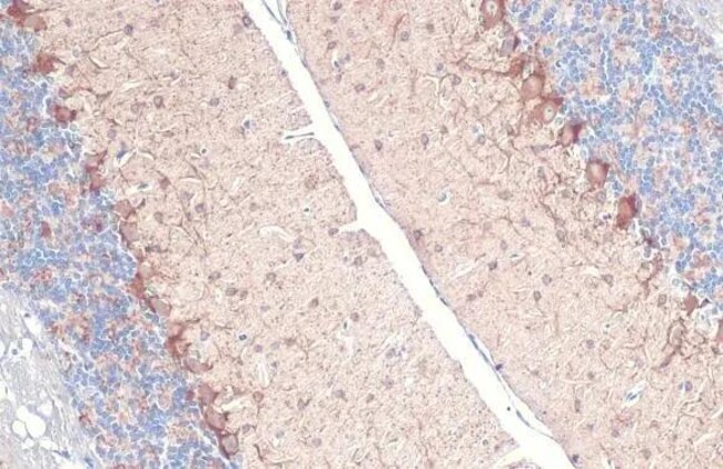
GAD67 Recombinant Monoclonal Antibody for Western Blot, IHC, IHC (P)

GAD-65 and GAD-67 are members of the group II decarboxylase family of proteins and are responsible for catalyzing the rate limiting step in the production of GABA (gamma-aminobutyric acid) from L-glutamic acid. Although both GADs are found in the brain, GAD-65 localizes to synaptic vesicle membranes in nerve terminals, while GAD-67 is distributed throughout the cell. GAD-67 is responsible for the basal levels of GABA synthesis. In the case of a heightened demand for GABA in neurotransmission, GAD-65 will transiently activate to assist in GABA production. The loss of GAD-65 is detrimental and can impair GABA neurotransmission, however the loss of GAD-67 is lethal. Due to alternative splicing, two isoforms exist for GAD-67: the predominant GAD-67 form and the minor GAD-25 form.
TRUSTED_SUSTAINABILITY
Specifications

Specifications

GAD67
Recombinant Monoclonal
1 mg/mL
PBS with no preservative
A0PA85, P14748, P18088, P48318, Q99259
GAD1
Recombinant protein encompassing a sequence within the center region of human GAD67. The exact sequence is proprietary.
100 μL
Primary
Human, Mouse, Rat, Canine, Feline, Zebrafish
Antibody
IgG
Immunohistochemistry, Immunohistochemistry (Paraffin), Western Blot
HL1096
Unconjugated
GAD1
67 kDa glutamic acid decarboxylase; 67kDa glutamate decarboxylase 1; CPSQ1; EGK_04525; EP10; FLJ45882; GAD; GAD 1; GAD 67; GAD1; Gad-1; GAD25; GAD44; Gad67; GAD-67; Glutamate decarboxylase 1; Glutamate decarboxylase 1 (brain); glutamate decarboxylase 1 (brain, 67kDa); glutamate decarboxylase 1 isoform GAD67; glutamate decarboxylase 1 variant GAD67NT; glutamate decarboxylase 67 kDa isoform; GLUTAMATE DECARBOXYLASE, 67 KD ISOFORM (GAD-67) (67 KD GLUTAMIC ACID DECARBOXYLASE); glutamic acid decarboxylase; glutamic acid decarboxylase 1; glutamic acid decarboxylase isoform 67; OTTHUMP00000041055; SCP
Rabbit
Protein A
RUO
14415, 24379, 2571, 478794, 493699
Store at 4°C short term. For long term storage, store at -20°C, avoiding freeze/thaw cycles.
Liquid
Product Suggestions

Product Suggestions

Videos
SDS
Documents

Documents

Certificates
Promotions

Promotions

Product Content Correction

Your input is important to us. Please complete this form to provide feedback related to the content on this product.

Product Title

By clicking Submit, you acknowledge that you may be contacted by Fisher Scientific in regards to the feedback you have provided in this form. We will not share your information for any other purposes. All contact information provided shall also be maintained in accordance with our Privacy Policy.

Thank You! Your feedback has been submitted. Fisher Scientific is always working to improve our content for you. We appreciate your feedback.