missing translation for 'onlineSavingsMsg'
Learn More
Learn More
Invitrogen™ GBP2 Polyclonal Antibody

Rabbit Polyclonal Antibody
Brand: Invitrogen™ PA5119701
This item is not returnable.
View return policy
Description
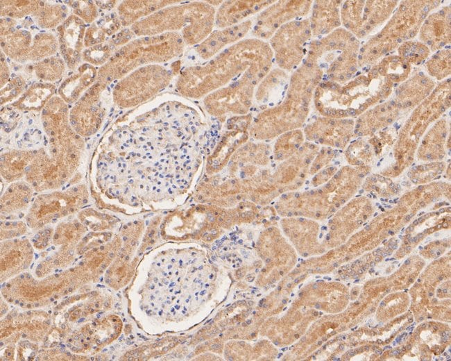
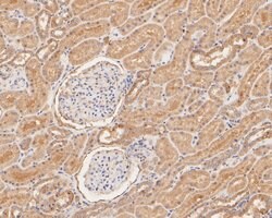
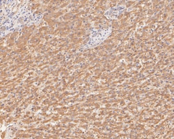
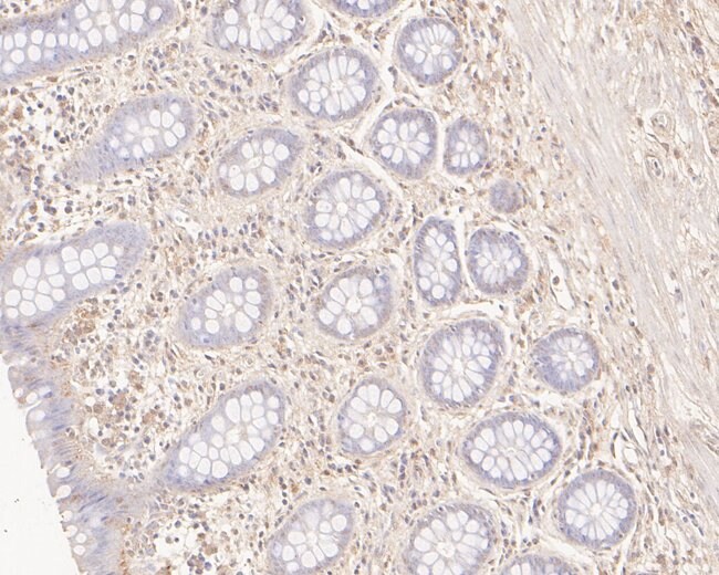
Positive Control: SiHa cell lysate, human lung tissue lysate, human liver tissue, human liver carcinoma tissue, human colon tissue, human kidney tissue, A549. Subcellular Location: Golgi apparatus membrane, Cytoplasm, perinuclear region, Membrane.
Binds GTP, GDP and GMP. Hydrolyzes GTP very efficiently; GDP rather than GMP is the major reaction product.
Specifications
| GBP2 | |
| Polyclonal | |
| Unconjugated | |
| GBP2 | |
| GBP2; GBP-2; GTP-binding protein 2; guanine nucleotide-binding protein 2; guanylate binding protein 2; guanylate binding protein 2, interferon-inducible; guanylate nucleotide binding protein 2; Guanylate-binding protein 1; Guanylate-binding protein 2; interferon-induced guanylate-binding protein 2; isoprenylated 67 kDa protein; mGBP2; mGBP-2; p67 | |
| Rabbit | |
| Affinity chromatography | |
| RUO | |
| 2634 | |
| Store at 4°C short term. For long term storage, store at -20°C, avoiding freeze/thaw cycles. | |
| Liquid |
| Immunohistochemistry (Paraffin), Western Blot | |
| 1 mg/mL | |
| TBS with 0.2% BSA, 50% glycerol and 0.05% sodium azide; pH 7.4 | |
| P32456 | |
| GBP2 | |
| Synthetic peptide within human GBP2 aa 430-470. | |
| 100 μL | |
| Primary | |
| Human | |
| Antibody | |
| IgG |
Product Content Correction
Your input is important to us. Please complete this form to provide feedback related to the content on this product.
Product Title
Spot an opportunity for improvement?Share a Content Correction