missing translation for 'onlineSavingsMsg'
Learn More
Learn More
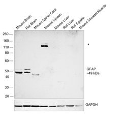
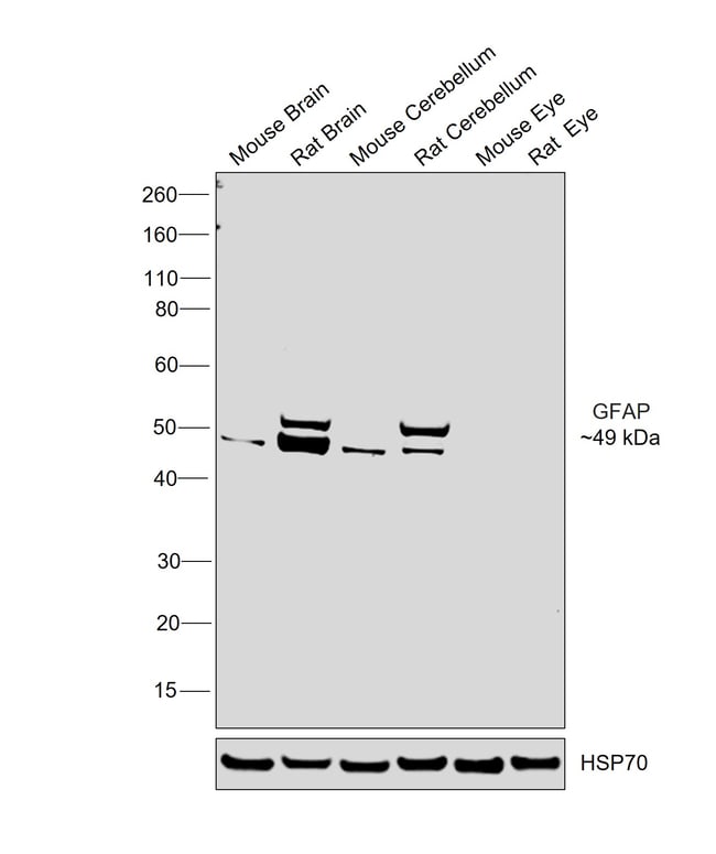
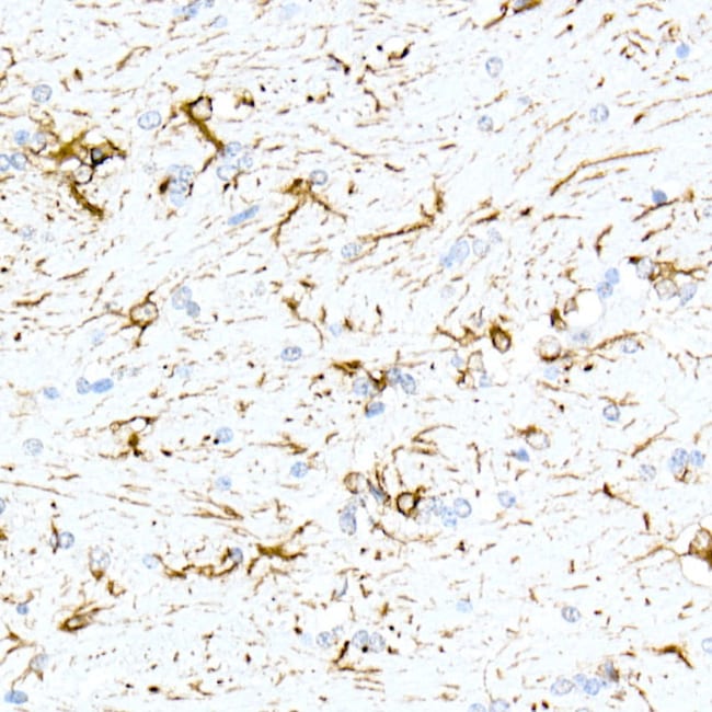
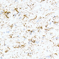
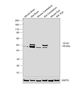
Invitrogen™ GFAP Recombinant Rabbit Monoclonal Antibody (8M2F9)

Description
Immunogen sequence: MERRRITSAA RRSYVSSGEM MVGGLAPGRR LGPGTRLSLA RMPPPLPTRV DFSLAGALNA GFKETRASER AEMMELNDRF ASYIEKVRFL EQQNKALAAE.
GFAP (Glial fibrillary acidic protein) is a member of the class III intermediate filament protein family. GFAP is heavily and specifically expressed in astrocytes and certain astroglia of the central nervous system, in satellite cells of peripheral ganglia, and in non-myelinating Schwann cells of peripheral nerves. In addition, neural stem cells strongly express GFAP. Antibodies to GFAP are very useful as markers of astrocytic cells. In addition, many types of brain tumor, presumably derived from astrocytic cells, heavily express GFAP. GFAP is also found in the lens epithelium, Kupffer cells of the liver, in some cells in salivary tumors and has been reported in erythrocytes. GFAP is used as a marker to distinguish astrocytes from other glial cells during development. Mutations in this gene cause Alexander disease, a rare disorder of astrocytes in the central nervous system. Alternative splicing of the GFAP gene results in multiple transcript variants encoding distinct isoforms.
Specifications
Specifications
| Antigen | GFAP |
| Applications | ELISA, Immunohistochemistry (Paraffin), Western Blot |
| Classification | Recombinant Monoclonal |
| Clone | 8M2F9 |
| Concentration | 0.55 mg/mL |
| Conjugate | Unconjugated |
| Formulation | PBS with 0.05% BSA, 50% glycerol and 0.09% sodium azide; pH 7.3 |
| Gene | GFAP |
| Gene Accession No. | P03995, P14136, P47819 |
| Gene Alias | 6330404F12Rik; 65 kDa glutamic acid decarboxylase; AI836096; ALXDRD; Astrocyte or Intermediate Filament Protein; cb345; class III intermediate filament protein; etID36982.3; FLJ45472; GAD(65); Gad2; Gad-2; GAD65; GAD-65; GFAP; GFAP epsilon; gfap protein; gfapl; glial fibrillary acidic protein; Glial Fibrillary Acidic Protein (GFAP); glial fibrillary acidic protein alpha; glutamate decarboxylase 2; Glutamate decarboxylase 65 kDa isoform; glutamic acid decarboxylase 2; I79_011607; intermediate filament; intermediate filament protein; intermediate filament protein; GFAP; Unknown (protein for MGC:139638); wu:fb34h11; wu:fk42c12; xx:af506734; zgc:110485; zGFAP; intermediate filament protein; zrf-1 antigen |
| Show More |
Product Title
By clicking Submit, you acknowledge that you may be contacted by Fisher Scientific in regards to the feedback you have provided in this form. We will not share your information for any other purposes. All contact information provided shall also be maintained in accordance with our Privacy Policy.
Spot an opportunity for improvement?