missing translation for 'onlineSavingsMsg'
Learn More
Learn More
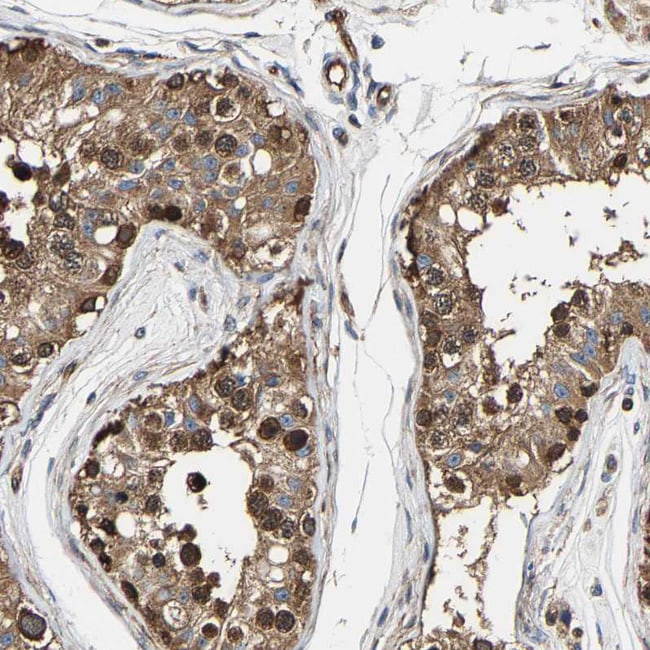
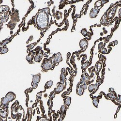
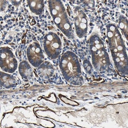
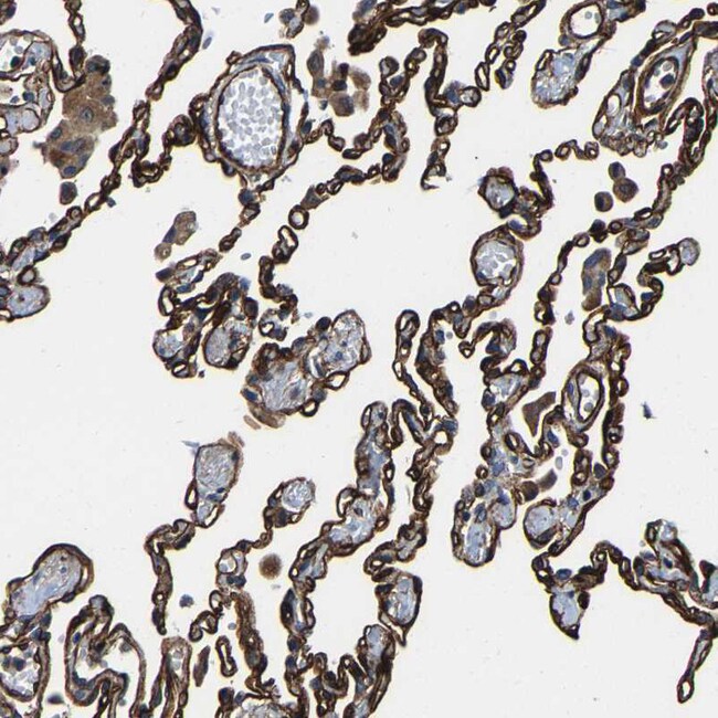
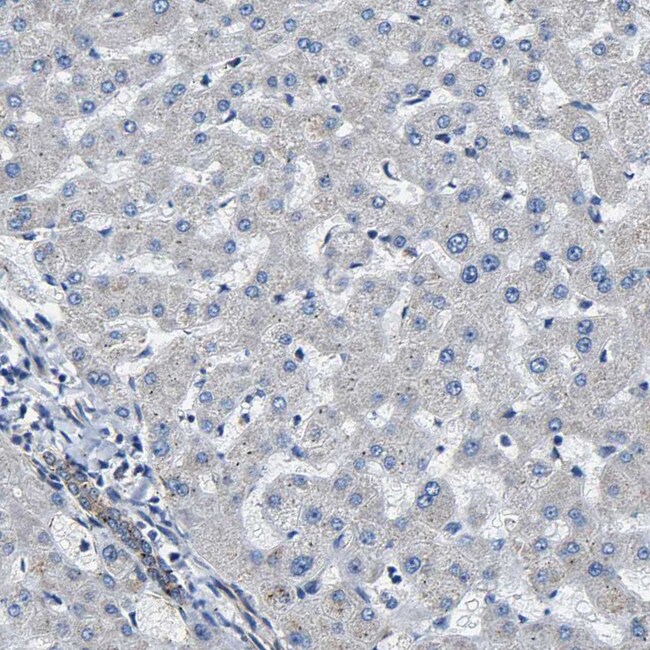
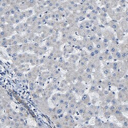
Invitrogen™ GFR alpha-3 Polyclonal Antibody

Rabbit Polyclonal Antibody
Brand: Invitrogen™ PA582733
This item is not returnable.
View return policy
Description
Immunogen sequence: LPTESRLMNS CLQARRKCQA DPTCSAAYHH LDSCTSSIST PLPSEEPSVP ADCLEAAQQL RNSSLIGCMC HRRMKNQVAC L Highest antigen sequence indentity to the following orthologs: Rat - 72%, Mouse - 69%.
GFRa-3 binds persephin, thus, persephin, GFRa-3, and Ret PTK form a complex to transduce persephin signal and to mediate persephin function.
Specifications
| GFR alpha-3 | |
| Polyclonal | |
| Unconjugated | |
| Gfra3 | |
| GDNF family receptor alpha 3; GDNF family receptor alpha-3; GDNF receptor alpha-3; GDNF-family receptor alpha 3; GDNFR3; GDNFR-alpha-3; GFR alpha-3; GFRA3; GFRalpha3; GFR-alpha-3; glial cell line derived neurotrophic factor family receptor alpha 3; glial cell line-derived neurotrophic factor receptor alpha-3; GPI-linked receptor; UNQ339/PRO538/PRO3664; Y15110 | |
| Rabbit | |
| Antigen affinity chromatography | |
| RUO | |
| 2676 | |
| Store at 4°C short term. For long term storage, store at -20°C, avoiding freeze/thaw cycles. | |
| Liquid |
| Immunohistochemistry (Paraffin), Western Blot, Immunocytochemistry | |
| 0.4 mg/mL | |
| PBS with 40% glycerol and 0.02% sodium azide; pH 7.2 | |
| O60609 | |
| Gfra3 | |
| Recombinant protein corresponding to Human GFRA3. Recombinant protein control fragment (Product #RP-92873). | |
| 100 μL | |
| Primary | |
| Human | |
| Antibody | |
| IgG |
Product Content Correction
Your input is important to us. Please complete this form to provide feedback related to the content on this product.
Product Title
Spot an opportunity for improvement?Share a Content Correction