missing translation for 'onlineSavingsMsg'
Learn More
Learn More
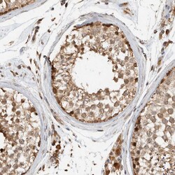
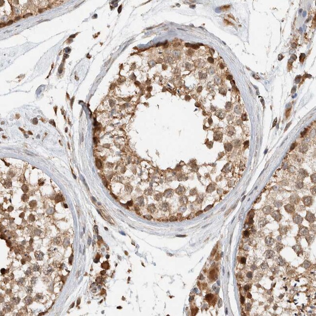
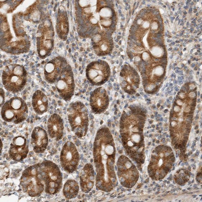
Invitrogen™ GINS4 Polyclonal Antibody

Rabbit Polyclonal Antibody
Brand: Invitrogen™ PA555146
This item is not returnable.
View return policy
Description
Immunogen sequence: MTEEVDFLGQ DSDGGSEEVV LTPAELIERL EQAWMNEKFA PELLESKPEI VECVMEQLEH MEE Highest antigen sequence identity to the following orthologs: Mouse - 89%, Rat - 89%.
The yeast heterotetrameric GINS complex is made up of Sld5, Psf1 (GINS1), Psf2 (GINS2), and Psf3 (GINS3). The formation of the GINS complex is essential for the initiation of DNA replication in yeast and Xenopus egg extracts.
Specifications
| GINS4 | |
| Polyclonal | |
| Unconjugated | |
| GINS4 | |
| 2810037c03rik; 4933405K01Rik; DNA replication complex GINS protein SLD5; DNA replication complex GINS protein SLD5, N-terminally processed; GINS complex subunit 4; GINS complex subunit 4 (Sld5 homolog); Gins4; RGD1307397; SLD5; SLD5 homolog | |
| Rabbit | |
| Antigen affinity chromatography | |
| RUO | |
| 84296 | |
| Store at 4°C short term. For long term storage, store at -20°C, avoiding freeze/thaw cycles. | |
| Liquid |
| Immunohistochemistry (Paraffin), Western Blot, Immunocytochemistry | |
| 0.10 mg/mL | |
| PBS with 40% glycerol and 0.02% sodium azide; pH 7.2 | |
| Q9BRT9 | |
| GINS4 | |
| Recombinant protein corresponding to Human GINS4. Recombinant protein control fragment (Product #RP-93808). | |
| 100 μL | |
| Primary | |
| Human | |
| Antibody | |
| IgG |
Product Content Correction
Your input is important to us. Please complete this form to provide feedback related to the content on this product.
Product Title
Spot an opportunity for improvement?Share a Content Correction