missing translation for 'onlineSavingsMsg'
Learn More
Learn More
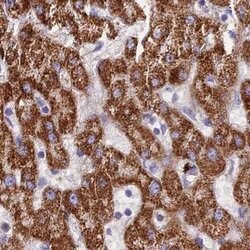
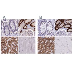
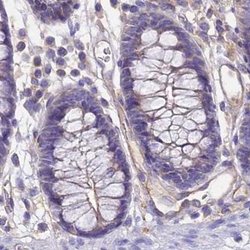
Invitrogen™ GLYAT Polyclonal Antibody

Description
Immunogen sequence: DQTGEMRMAGT LPEYRLHGLV TYVIYSHAQK LGKLGFPVYS HVDYSNEAMQ KMSYTLQHVP IPRSWNQWNC VPL Highest antigen sequence identity to the following orthologs - mouse 66%, rat 68%.
Mitochondrial acyltransferase which transfers an acyl group to the N-terminus of glycine and glutamine, although much less efficiently. Can conjugate numerous substrates to form a variety of N-acylglycines, with a preference for benzoyl-CoA over phenylacetyl-CoA as acyl donors. Thereby detoxify xenobiotics, such as benzoic acid or salicylic acid, and endogenous organic acids, such as isovaleric acid.
Specifications
Specifications
| Antigen | GLYAT |
| Applications | Immunohistochemistry (Paraffin), Western Blot |
| Classification | Polyclonal |
| Concentration | 0.05 mg/mL |
| Conjugate | Unconjugated |
| Formulation | PBS with 40% glycerol and 0.02% sodium azide; pH 7.2 |
| Gene | GLYAT |
| Gene Accession No. | Q6IB77 |
| Gene Alias | A330009E03Rik; AAc; Ab2-132; ACGNAT; Acyl-CoA:glycine N-acyltransferase; AI195249; AI315345; Aralkyl acyl-CoA N-acyltransferase; aralkyl acyl-CoA:amino acid N-acyltransferase; aralkyl-CoA N-acyltransferase; benzoyl-coenzyme A:glycine N-acyltransferase; CAT; GAT; Glyat; Glycine N-acyltransferase; glycine N-benzoyltransferase; glycine-N-acyltransferase; HRP-1(CLP); Liver regeneration-related protein LRRG067 |
| Gene Symbols | GLYAT |
| Show More |
Product Title
By clicking Submit, you acknowledge that you may be contacted by Fisher Scientific in regards to the feedback you have provided in this form. We will not share your information for any other purposes. All contact information provided shall also be maintained in accordance with our Privacy Policy.
Spot an opportunity for improvement?