missing translation for 'onlineSavingsMsg'
Learn More
Learn More
Description
Immunogen sequence: TRRVVKPLCQ DQPGGQHCIH FKRDNSSNGR MDNNSQAVLY IWELGDDKFI QRGFHVGLWQ SCEES Highest antigen sequence identity to the following orthologs: Mouse - 69%, Rat - 40%.
Specifications
Specifications
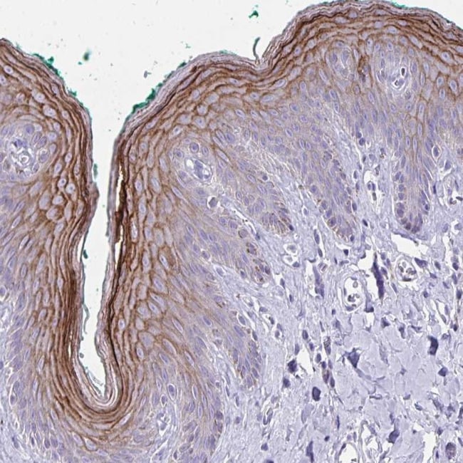
| Antigen | GSG1L2 |
| Applications | Immunohistochemistry (Paraffin) |
| Classification | Polyclonal |
| Concentration | 0.1 mg/mL |
| Conjugate | Unconjugated |
| Formulation | PBS with 40% glycerol and 0.02% sodium azide; pH 7.2 |
| Gene | GSG1L2 |
| Gene Accession No. | A8MUP6 |
| Gene Alias | Germ cell-specific gene 1-like protein 2; germ cell-specific gene 1-like protein 2-like; GSG1 like 2; GSG1L2; GSG1-like 2; GSG1-like protein 2; putative germ cell-specific gene 1-like protein 2 |
| Gene Symbols | GSG1L2 |
| Show More |
Product Title
By clicking Submit, you acknowledge that you may be contacted by Fisher Scientific in regards to the feedback you have provided in this form. We will not share your information for any other purposes. All contact information provided shall also be maintained in accordance with our Privacy Policy.
Spot an opportunity for improvement?
