missing translation for 'onlineSavingsMsg'
Learn More
Learn More
Invitrogen™ H3.3 G34R oncohistone mutant Recombinant Rabbit Monoclonal Antibody (RM240), Biotin

Rabbit Recombinant Monoclonal Antibody
Brand: Invitrogen™ MA544562
This item is not returnable.
View return policy
Description
This antibody reacts to human and mouse PSD95. It may also react to rat PSD95, as predicted by immunogen homology.
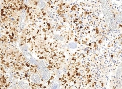
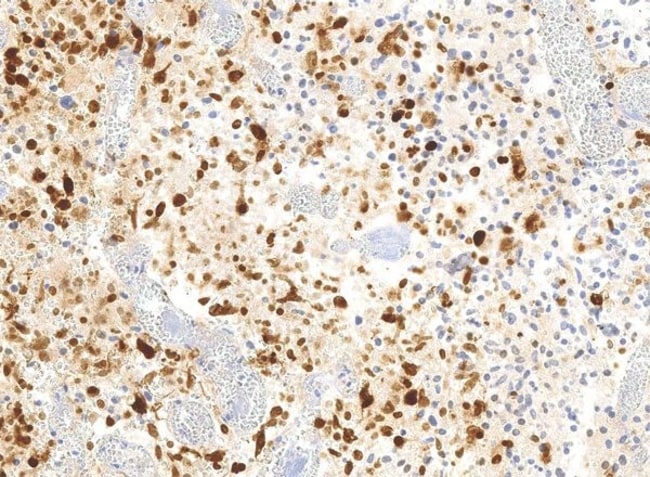
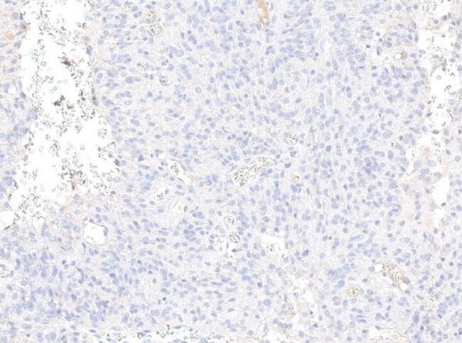
Histones are basic nuclear proteins that are responsible for the nucleosome structure of the chromosomal fiber in eukaryotes. Nucleosomes consist of approximately 146 bp of DNA wrapped around a histone octamer composed of pairs of each of the four core histones (H2A, H2B, H3, and H4). The chromatin fiber is further compacted through the interaction of a linker histone, H1, with the DNA between the nucleosomes to form higher order chromatin structures. This gene is intronless and encodes a member of the histone H3 family. Transcripts from this gene lack polyA tails; instead, they contain a palindromic termination element. This gene is located separately from the other H3 genes that are in the histone gene cluster on chromosome 6p22-p21.3.
Specifications
| H3.3 G34R oncohistone mutant | |
| Recombinant Monoclonal | |
| 250 μg/mL | |
| PBS with 1% BSA, 50% glycerol and 0.09% sodium azide | |
| P84243 | |
| H3-3A, H3-3B | |
| A peptide corresponding to Histone H3.3 G34R mutant. The immunogen range is a synthetic peptide within amino acids 1-100 of histone H3.3 with G34R mutant. | |
| 50 μL | |
| Primary | |
| Human | |
| Antibody | |
| IgG |
| ELISA, Immunohistochemistry, Immunohistochemistry (Paraffin), Western Blot, Immunocytochemistry | |
| RM240 | |
| Biotin | |
| H3-3A | |
| H3 histone, family 3A; H3 histone, family 3B; H3 histone, family 3B (H3.3B); H3.3; H3.3 G34R; H3.3A; H3.3B; H3/g; H3-3A; H3-3B; H3B; H3F3; H3F3A; H3F3B; H3FT; H3t; Histone 3.3; Histone cluster 3; Histone H3; Histone H3.3; Histone H3.3 G34R; Histone H3.3G34R; PP781 | |
| Rabbit | |
| Protein A | |
| RUO | |
| 3020, 3021 | |
| -20°C | |
| Liquid |
Product Content Correction
Your input is important to us. Please complete this form to provide feedback related to the content on this product.
Product Title
Spot an opportunity for improvement?Share a Content Correction