missing translation for 'onlineSavingsMsg'
Learn More

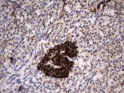
HADH Mouse anti-Human, Clone: UMAB151, lyophilized, UltraMAB™

Mouse Monoclonal Antibody

Brand:  Origene Technologies UM800048CF

Encompass_Preferred

Product Code. 17579824

  • € 794.97 / 100µg

Please to purchase this item. Need a web account? Register with us today!

This item is not returnable. View return policy

Description

Description

Reconstitute with PBS (pH 7.3) and recommend to perform another round of desalting process using Product No. 7KMWCO

This gene is a member of the 3-hydroxyacyl-CoA dehydrogenase gene family. The encoded protein functions in the mitochondrial matrix to catalyze the oxidation of straight-chain 3-hydroxyacyl-CoAs as part of the beta-oxidation pathway. Its enzymatic activity is highest with medium-chain-length fatty acids. Mutations in this gene cause one form of familial hyperinsulinemic hypoglycemia. The human genome contains a related pseudogene of this gene on chromosome 15.
Specifications

Specifications

HADH
Monoclonal
Unconjugated
HADH
HAD, HADH1, HADHSC, HCDH, HHF4, MSCHAD, SCHAD
Mouse
Affinity Chromatography
RUO
3033
-20° C, Avoid Freeze/Thaw Cycles
Lyophilized
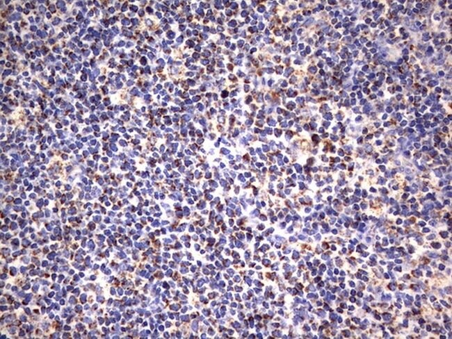
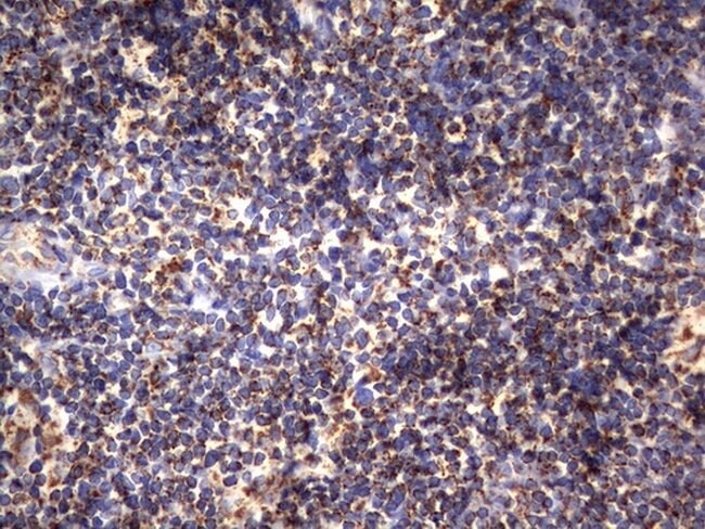
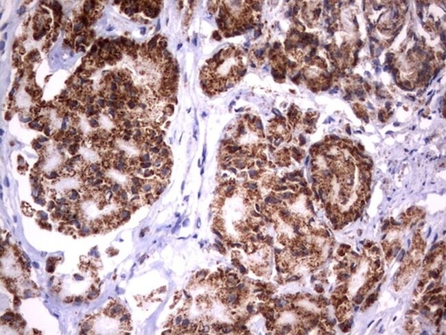
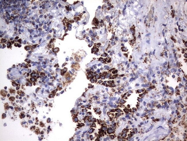
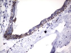
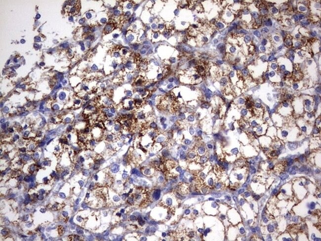
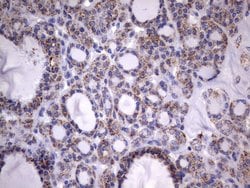
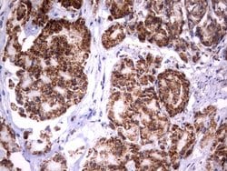
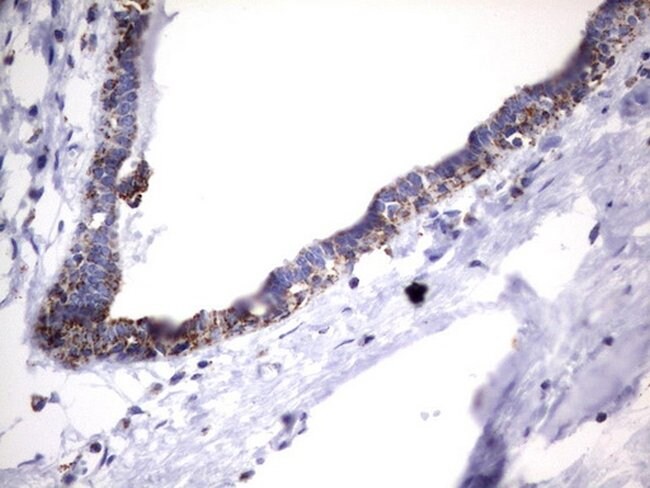
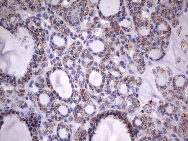
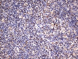
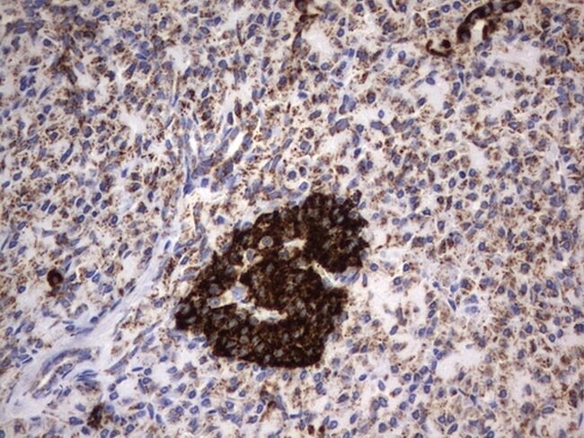
Immunohistochemistry (Paraffin), Peptide Array, Western Blot
UMAB151
PBS with 8% trehalose and no preservative; pH 7.3
Q16836
HADH
Human recombit protein fragment corresponding to amino acids 57-314 of human HADH produced in E.coli.
100 μg
Primary
Human
Antibody
IgG2a
Product Suggestions

Product Suggestions

Videos
SDS
Documents

Documents

Certificates
Promotions

Promotions

Product Content Correction

The Fisher Scientific Encompass Program offers items which are not part of our distribution portfolio. These products typically do not have pictures or detailed descriptions. However, we are committed to improving your shopping experience. Please use the form below to provide feedback related to the content on this product.

Product Title

By clicking Submit, you acknowledge that you may be contacted by Fisher Scientific in regards to the feedback you have provided in this form. We will not share your information for any other purposes. All contact information provided shall also be maintained in accordance with our Privacy Policy.

Thank You! Your feedback has been submitted. Fisher Scientific is always working to improve our content for you. We appreciate your feedback.