missing translation for 'onlineSavingsMsg'
Learn More

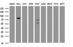
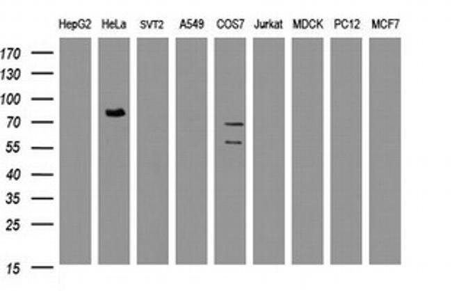
HBS1L Mouse anti-Human, Clone: OTI2A3, liquid, TrueMAB™

Product Code. 17528632
Encompass_Preferred
Change view
Click to view available options
Quantity:
100 μL
Unit Size:
100µL
1 product options available for selection
Product selection table with 1 available options. Use arrow keys to navigate and Enter or Space to select.
Product Code. Quantity unitSize
17528632 100 μL 100µL
Use arrow keys to navigate between rows. Press Enter or Space to select a product option. 1 options available.
1 options
This item is not returnable. View return policy
Product Code. 17528632 Supplier Origene Technologies Supplier No. TA800607

Please to purchase this item. Need a web account? Register with us today!

This item is not returnable. View return policy

Mouse Monoclonal Antibody

This gene encodes a member of the GTP-binding elongation factor family. It is expressed in multiple tissues with the highest expression in heart and skeletal muscle. The intergenic region of this gene and the MYB gene has been identified to be a quantitative trait locus (QTL) controlling fetal hemoglobin level, and this region influnces erythrocyte, platelet, and monocyte counts as well as erythrocyte volume and hemoglobin content. DNA polymorphisms at this region associate with fetal hemoglobin levels and pain crises in sickle cell disease. A single nucleotide polymorphism in exon 1 of this gene is significantly associated with severity in beta-thalassemia/Hemoglobin E. Multiple alternatively spliced transcript variants encoding different protein isoforms have been found for this gene.

Specifications

Antigen HBS1L
Applications Western Blot
Classification Monoclonal
Clone OTI2A3
Concentration 1 mg/mL
Conjugate Unconjugated
Formulation PBS with 1% BSA, 50% glycerol and 0.02% sodium azide
Gene HBS1L
Gene Accession No. Q9Y450
Gene Alias EF-1a, ERFS, HBS1, HSPC276, eRF3c
Gene Symbols HBS1L
Host Species Mouse
Immunogen Human recombit protein fragment corresponding to amino acids 1-242 of human HBS1L produced in E.coli.
Purification Method Affinity Chromatography
Quantity 100 μL
Regulatory Status RUO
Primary or Secondary Primary
Gene ID (Entrez) 10767
Target Species Human
Content And Storage -20° C, Avoid Freeze/Thaw Cycles
Product Type Antibody
Form Liquid
Isotype IgG1
Show More Show Less
Product Title
Select an issue

By clicking Submit, you acknowledge that you may be contacted by Fisher Scientific in regards to the feedback you have provided in this form. We will not share your information for any other purposes. All contact information provided shall also be maintained in accordance with our Privacy Policy.