missing translation for 'onlineSavingsMsg'
Learn More
Learn More
Invitrogen™ HCN2 Monoclonal Antibody (S71), PerCP

Mouse Monoclonal Antibody
Brand: Invitrogen™ MA545405
This item is not returnable.
View return policy
Description
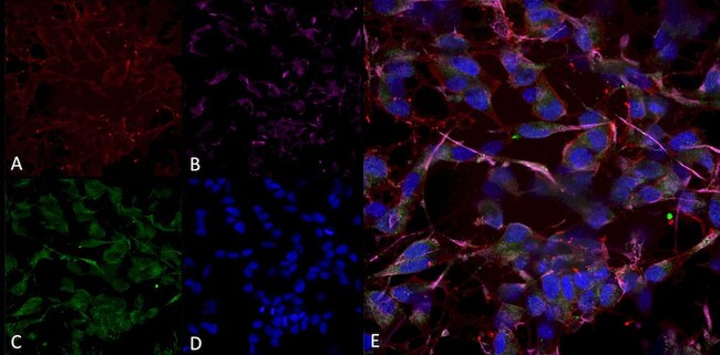
1 μg/mL of MA5-45405 was sufficient for detection of HCN2 in 10 μg of rat brain lysate by colorimetric immunoblot analysis using Goat anti-mouse IgG:HRP as the secondary antibody. Detects approximately 95kDa. No cross-reactivity against HCN1.
Hyperpolarization-activated cation channels of the HCN gene family such as HCN2, contribute to spontaneous rhythmic activity in both heart and brain. HCN2 is a member of a family of pacemaker channels activated by hyperpolarization and regulated by cyclic nucleotides. HCN1 and HCN2 play an important role for motor learning and neuronal integration by cerebellar Purkinje cells; as well as, shaping autonomous activity of single neurons and the periodicity of network oscillations. The HCN1 expression is highly enriched in cerebral cortex, hippocampus, cerebellum, and facial motor nucleus. HCN2 is highly abundant in mamillary bodies, pontine nucleus, ventral cochlear nucleus, and nucleus of the trapezoid body. These variations in regional specificity of HCN channels could generate important differences in neuronal pacemaker activity across brain systems.
Specifications
| HCN2 | |
| Monoclonal | |
| 1 mg/mL | |
| 2.48mM MES, 95.64mM phosphate with 0.5M EDTA and no preservative; pH 7.4 | |
| O88703, Q9JKA9, Q9UL51 | |
| HCN2 | |
| Fusion protein amino acids 761-863 (cytoplasmic C-terminus) of rat HCN2. | |
| 100 μg | |
| Primary | |
| Human, Mouse, Rat | |
| Antibody | |
| IgG1 |
| Immunohistochemistry (Paraffin), Immunohistochemistry (PFA fixed), Immunoprecipitation, Western Blot, Immunocytochemistry, Microarray | |
| S71 | |
| PerCP | |
| HCN2 | |
| BCNG2; BCNG-2; brain cyclic nucleotide gated channel 2; brain cyclic nucleotide-gated channel 2; Hac1; HAC-1; HCN2; hyperpolarization activated cyclic nucleotide gated potassium channel 2; hyperpolarization activated cyclic nucleotide-gated potassium channel 2; hyperpolarization-activated cation channel 1; hyperpolarization-activated, cyclic nucleotide-gated K+ 2; potassium/sodium hyperpolarization-activated cyclic nucleotide-gated channel 2; trls | |
| Mouse | |
| Protein G | |
| RUO | |
| 114244, 15166, 610 | |
| 4°C | |
| Liquid |
Product Content Correction
Your input is important to us. Please complete this form to provide feedback related to the content on this product.
Product Title
Spot an opportunity for improvement?Share a Content Correction