missing translation for 'onlineSavingsMsg'
Learn More

HDAC10 Mouse anti-Human, Clone: OTI6G5, lyophilized, TrueMAB™

Mouse Monoclonal Antibody

Brand:  Origene Technologies CF500725

Encompass_Preferred

Product Code. 17690781

  • € 726.00 / 100µg

Please to purchase this item. Need a web account? Register with us today!

This item is not returnable. View return policy

Description

Description

Reconstitute with PBS (pH 7.3) and recommend to perform another round of desalting process using Product No. 7KMWCO

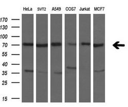
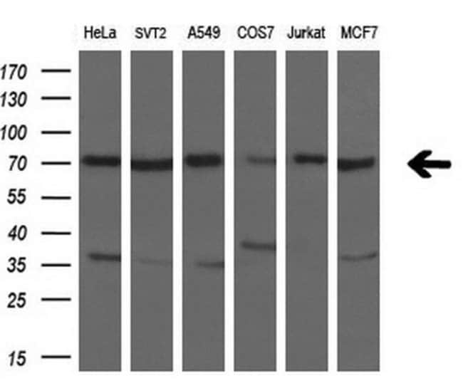
Responsible for the deacetylation of lysine residues on the N-terminal part of the core histones (H2A, H2B, H3 and H4). Histone deacetylation gives a tag for epigenetic repression and plays an important role in transcriptional regulation, cell cycle progression and developmental events. Histone deacetylases act via the formation of large multiprotein complexes.
Specifications

Specifications

HDAC10
Monoclonal
Unconjugated
HDAC10
HD10
Mouse
Affinity Chromatography
RUO
83933
-20° C, Avoid Freeze/Thaw Cycles
Lyophilized
Western Blot
OTI6G5
PBS with 8% trehalose and no preservative; pH 7.3
Q969S8
HDAC10
Full length human recombit protein of human HDAC10 produced in HEK293T cell.
100 μg
Primary
Human
Antibody
IgG2a
Product Suggestions

Product Suggestions

Videos
SDS
Documents

Documents

Certificates
Promotions

Promotions

Product Content Correction

The Fisher Scientific Encompass Program offers items which are not part of our distribution portfolio. These products typically do not have pictures or detailed descriptions. However, we are committed to improving your shopping experience. Please use the form below to provide feedback related to the content on this product.

Product Title

By clicking Submit, you acknowledge that you may be contacted by Fisher Scientific in regards to the feedback you have provided in this form. We will not share your information for any other purposes. All contact information provided shall also be maintained in accordance with our Privacy Policy.

Thank You! Your feedback has been submitted. Fisher Scientific is always working to improve our content for you. We appreciate your feedback.