Learn More
Invitrogen™ HDAC10 Recombinant Rabbit Monoclonal Antibody (SD08-11)

Rabbit Recombinant Monoclonal Antibody
Marke: Invitrogen™ MA532388
Beschreibung
Recombinant rabbit monoclonal antibodies are produced using in vitro expression systems. The expression systems are developed by cloning in the specific antibody DNA sequences from immunoreactive rabbits. Then, individual clones are screened to select the best candidates for production. The advantages of using recombinant rabbit monoclonal antibodies include: better specificity and sensitivity, lot-to-lot consistency, animal origin-free formulations, and broader immunoreactivity to diverse targets due to larger rabbit immune repertoire.
Responsible for the deacetylation of lysine residues on the N-terminal part of the core histones (H2A, H2B, H3 and H4). Histone deacetylation gives a tag for epigenetic repression and plays an important role in transcriptional regulation, cell cycle progression and developmental events. Histone deacetylases act via the formation of large multiprotein complexes.
Spezifikation
| HDAC10 | |
| Recombinant Monoclonal | |
| 1 mg/mL | |
| TBS with 0.05% BSA, 40% Glycerol and 0.05% sodium azide; pH 7.4 | |
| Q6P3E7, Q969S8 | |
| HDAC10 | |
| Synthetic peptide within Human HDAC10 aa 339-388. | |
| 100 μL | |
| Primary | |
| Human, Mouse | |
| Antibody | |
| IgG |
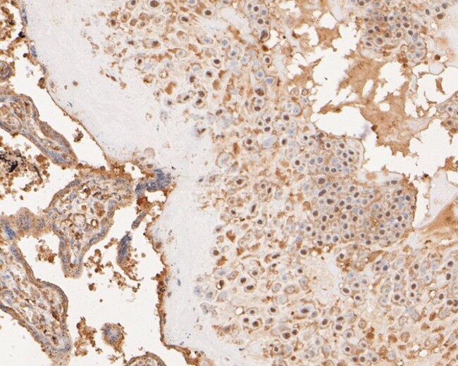
| Immunohistochemistry (Paraffin), Western Blot, Immunocytochemistry | |
| SD08-11 | |
| Unconjugated | |
| HDAC10 | |
| AW548891; DKFZp761B039; Hd10; Hdac10; Histone deacetylase 10; MGC149722; Polyamine deacetylase HDAC10; RP3-402G11.7 | |
| Rabbit | |
| Protein A | |
| RUO | |
| 170787, 83933 | |
| Store at 4°C short term. For long term storage, store at -20°C, avoiding freeze/thaw cycles. | |
| Liquid |
Bitte geben Sie uns Ihr Feedback zu den Produktinhalten, indem Sie das folgende Formular ausfüllen.