missing translation for 'onlineSavingsMsg'
Learn More
Learn More
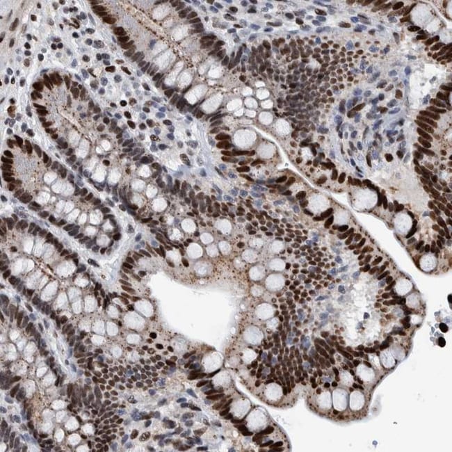
Invitrogen™ HEATR9 Polyclonal Antibody

Rabbit Polyclonal Antibody
Brand: Invitrogen™ PA554702
This item is not returnable.
View return policy
Description
Immunogen sequence: NKVLSVYEAP KTNVKAEPTR FQKEPENPEE LTIQDFRLAK LNPLFIAKSI TKVGQKKTPA FPPCCSKPRK HRPQVIGPWQ PRIKKQL Highest antigen sequence identity to the following orthologs: Mouse - 58%, Rat - 57%.
HEATR9 gene ontology annotations related to this gene include hematopoietic progenitor cell differentiation.
Specifications
| HEATR9 | |
| Polyclonal | |
| Unconjugated | |
| HEATR9 | |
| C11H17orf66; C17orf66; C9H17orf66; Gm11435; HEAT repeat containing 9; HEAT repeat-containing protein 9; Heatr9; OTTMUSG00000000990; Protein HEATR9; RGD1559875 | |
| Rabbit | |
| Antigen affinity chromatography | |
| RUO | |
| 256957 | |
| Store at 4°C short term. For long term storage, store at -20°C, avoiding freeze/thaw cycles. | |
| Liquid |
| Immunohistochemistry (Paraffin) | |
| 0.3 mg/mL | |
| PBS with 40% glycerol and 0.02% sodium azide; pH 7.2 | |
| A2RTY3 | |
| HEATR9 | |
| Recombinant protein corresponding to Human HEATR9. Recombinant protein control fragment (Product #RP-93465). | |
| 100 μL | |
| Primary | |
| Human | |
| Antibody | |
| IgG |
Product Content Correction
Your input is important to us. Please complete this form to provide feedback related to the content on this product.
Product Title
Spot an opportunity for improvement?Share a Content Correction