missing translation for 'onlineSavingsMsg'
Learn More
Learn More
Invitrogen™ hnRNP U Recombinant Rabbit Monoclonal Antibody (JB23-43)

Description
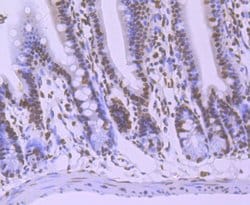
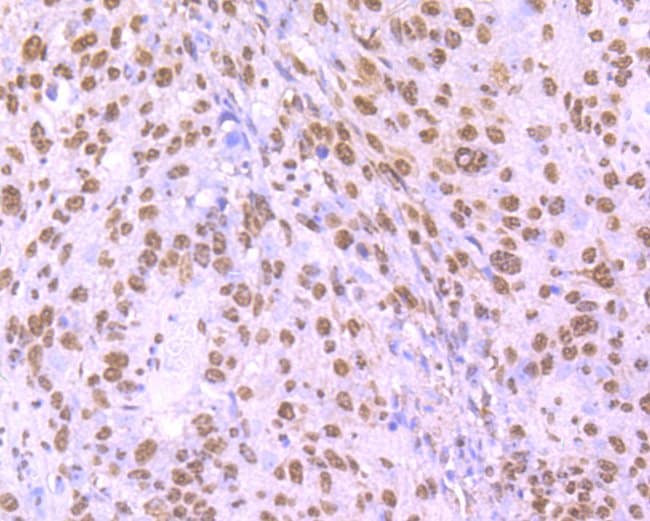
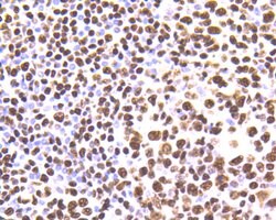
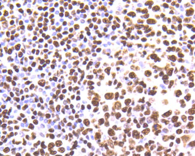
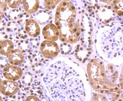
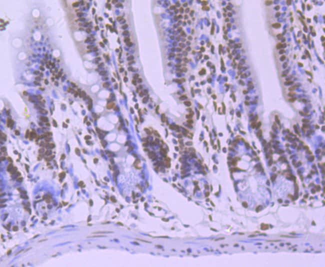
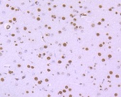
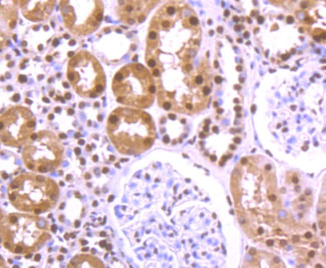
Positive Control: A431, HepG2, SH-SY-5Y, human tonsil tissue, human kidney tissue, human lung cancer tissue, mouse colon tissue, rat brain tissue, NIH-3T3.
The protein encoded by this gene is a receptor for activated C-kinase (RACK) protein. The encoded protein has been shown to bind in vitro to activated protein kinase C beta I. In addition, this protein is a cutaneous T-cell lymphoma-associated antigen. Finally, the protein contains a bromodomain and two zinc fingers, and is thought to be a transcriptional regulator. Multiple transcript variants encoding several different isoforms have been found for this gene.
Specifications
Specifications
| Antigen | hnRNP U |
| Applications | Immunohistochemistry (Paraffin), Western Blot, Immunocytochemistry |
| Classification | Recombinant Monoclonal |
| Clone | JB23-43 |
| Concentration | 1 mg/mL |
| Conjugate | Unconjugated |
| Formulation | TBS with 0.05% BSA, 40% glycerol and 0.05% sodium azide; pH 7.4 |
| Gene | Hnrnpu |
| Gene Accession No. | Q00839 |
| Gene Alias | AA408410; AI256620; AL024194; AL024437; AW557595; C1orf199; C86794; FLJ30202; FLJ37978; GRIP120; Heterogeneous nuclear ribonucleoprotein U; heterogeneous nuclear ribonucleoprotein U (scaffold attachment factor A); heterogenous nuclear ribonucleoprotein U; hnRNP U; HNRNPU; HNRNPU antisense RNA 1; HNRNPU-AS1; Hnrpu; NCRNA00201; nuclear matrix protein sp120; Nuclear p120 ribonucleoprotein; p120; p120 nuclear protein; pp120; rCG_20317; SAFA; SAF-A; scaffold attachment factor A; Scaffold-attachment factor A; SN1; SP120; system N1 Na+ and H+-coupled glutamine transporter; transporter protein; transporter protein; system N1 Na+ and H+-coupled glutamine transporter; U21.1; U211 |
| Show More |
Product Title
By clicking Submit, you acknowledge that you may be contacted by Fisher Scientific in regards to the feedback you have provided in this form. We will not share your information for any other purposes. All contact information provided shall also be maintained in accordance with our Privacy Policy.
Spot an opportunity for improvement?