missing translation for 'onlineSavingsMsg'
Learn More

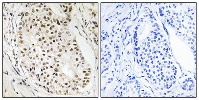
hnRNP UL2 Polyclonal Antibody, Invitrogen™

Rabbit Polyclonal Antibody

Brand:  Invitrogen PA539206

Product Code. 15506121

  • € 486.16 / 100µg

Please to purchase this item. Need a web account? Register with us today!

This item is not returnable. View return policy

Description

Description

TRUSTED_SUSTAINABILITY
Specifications

Specifications

hnRNP UL2
Polyclonal
Unconjugated
HNRNPUL2
HNRPUL2, SAF-A2, heterogeneous nuclear ribonucleoprotein U-like protein 2, scaffold-attachment factor A2
Rabbit
Antigen affinity chromatography
RUO
221092, 68693
-20°C
Liquid
Immunohistochemistry (Paraffin)
1 mg/mL
Dulbecco′s PBS with 150mM NaCl, 50% glycerol and 0.02% sodium azide; pH 7.4
Q1KMD3, Q00PI9
HNRNPUL2
A synthetic peptide derived from the internal region of human HNRNPUL2
100 μg
Primary
Human, Mouse
Antibody
IgG
Product Suggestions

Product Suggestions

Videos
SDS
Documents

Documents

Certificates
Promotions

Promotions

Product Content Correction

Your input is important to us. Please complete this form to provide feedback related to the content on this product.

Product Title

By clicking Submit, you acknowledge that you may be contacted by Fisher Scientific in regards to the feedback you have provided in this form. We will not share your information for any other purposes. All contact information provided shall also be maintained in accordance with our Privacy Policy.

Thank You! Your feedback has been submitted. Fisher Scientific is always working to improve our content for you. We appreciate your feedback.