missing translation for 'onlineSavingsMsg'
Learn More

Invitrogen™ HPa1 Polyclonal Antibody

Rabbit Polyclonal Antibody

Brand:  Invitrogen™ PA5121904

 View more versions of this product

Product Code. 17723304

  • € 156.00 / 20µL

Please to purchase this item. Need a web account? Register with us today!

This item is not returnable. View return policy

Description

Description

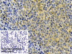
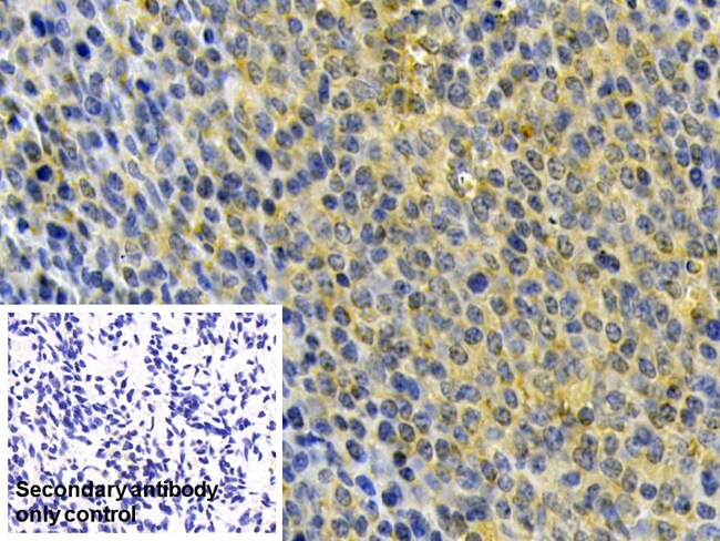
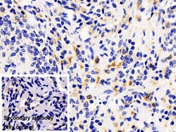
HPa1 Polyclonal Antibody for Western Blot, ICC/IF, IHC (P)

Stem cells offer a therapeutic promise for many diseases. In the case of diabetes, stem cells offer the promise that beta cells may be generated ex vivo for the possible transplantation and cure of Type I diabetes (Couri CE, et al. ). For this to happen, stem cells will need to be isolated and expanded, they will need to be differentiated toward the beta cell lineage, and the differentiated cell progeny used for transplantation may need to be isolated from complex cell mixtures following differentiation. Appropriate markers targeting cell surface molecules on developing and mature pancreatic cells will be required for such research.
TRUSTED_SUSTAINABILITY
Specifications

Specifications

HPa1
Polyclonal
Unconjugated
HPSE
Endo-glucoronidase; endoglycosidase heparanase; HEP; Heparanase; Heparanase 50 kDa subunit; Heparanase 8 kDa subunit; Heparanase-1; heparanase-like; Hpa; HPA1; HPR1; HPSE; HPSE1; HSE1
Rabbit
Antigen affinity chromatography, Protein A
RUO
10855
Store at 4°C short term. For long term storage, store at -20°C, avoiding freeze/thaw cycles.
Liquid
Immunohistochemistry (Paraffin), Western Blot, Immunocytochemistry
0.5 mg/mL
PBS with 50% glycerol and 0.05% ProClin 300; pH 7.4
Q9Y251
HPSE
Recombinant protein Heparanase. The antigen corresponds to amino acid range 34-115 of the target protein.
20 μL
Primary
Human
Antibody
IgG
Product Suggestions

Product Suggestions

Videos
SDS
Documents

Documents

Certificates
Promotions

Promotions

Product Content Correction

Your input is important to us. Please complete this form to provide feedback related to the content on this product.

Product Title

By clicking Submit, you acknowledge that you may be contacted by Fisher Scientific in regards to the feedback you have provided in this form. We will not share your information for any other purposes. All contact information provided shall also be maintained in accordance with our Privacy Policy.

Thank You! Your feedback has been submitted. Fisher Scientific is always working to improve our content for you. We appreciate your feedback.